Stories
-
نبض الملاعب
RT STORIES
اشتعال سباق اللقب.. من يتوج بالدوري المصري حال تساوي الزمالك وبيراميدز والأهلي في النقاط؟
#اسأل_أكثر #Question_MoreRT STORIES
مورينيو ينهي الجدل رسميا حول تفاوضه مع ريال مدريد
#اسأل_أكثر #Question_MoreRT STORIES
الأهلي يكتسح الزمالك ويشعل الصراع على لقب الدوري المصري
#اسأل_أكثر #Question_MoreRT STORIES
ترامب يعلن موقفه النهائي من مشاركة إيران في مونديال 2026
#اسأل_أكثر #Question_MoreRT STORIES
الروسية كوفشوفا تحقق إنجازا مزدوجا في بطولة أوروبا للجمباز الإيقاعي
#اسأل_أكثر #Question_MoreRT STORIES
طبيب نفسي متهم بقتل مارادونا يكشف تفاصيل صادمة أمام المحكمة
#اسأل_أكثر #Question_MoreRT STORIES
مدرب ليفربول يكشف موعد عودة صلاح إلى الملاعب
#اسأل_أكثر #Question_MoreRT STORIES
بنفيكا يحبط مساعي ريال مدريد لخطف جوزيه مورينيو
#اسأل_أكثر #Question_MoreRT STORIES
ترشيح فريق عربي لمواجهة برشلونة الإسباني في كأس خوان غامبر
#اسأل_أكثر #Question_MoreRT STORIES
أحداث شغب واشتباكات بين الجماهير في قمة الجيش الملكي والرجاء بالدوري المغربي
#اسأل_أكثر #Question_MoreRT STORIES
أول عرض عربي يصل إلى إمام عاشور بعد أنباء عرضه للبيع
#اسأل_أكثر #Question_MoreRT STORIES
النصر يهدد بالانسحاب ويضع شرطا صارما للمشاركة بدوري أبطال آسيا للنخبة (فيديو)
#اسأل_أكثر #Question_MoreRT STORIES
"علاقة جديدة".. لامين جمال يثير الجدل مجددا بفيديو مسرب
#اسأل_أكثر #Question_MoreRT STORIES
مفاجأة.. خروج أول اسم كبير من حسابات ريال مدريد لخلافة أربيلوا
#اسأل_أكثر #Question_MoreRT STORIES
بعد بيان إصابته.. ليفربول يجهز وداعا تاريخيا لمحمد صلاح
#اسأل_أكثر #Question_MoreRT STORIES
فليك يحسم موقفه النهائي من تمديد عقده مع برشلونة
#اسأل_أكثر #Question_More
نبض الملاعب
-
إسرائيل تواصل غاراتها على لبنان
RT STORIES
قناة لبنانية: الرئيس عون لن يذهب للقاء نتنياهو ما دام جزء من الجنوب محتلا والحرب فيه قائمة
#اسأل_أكثر #Question_MoreRT STORIES
القوات الإسرائيلية تجرّف دير ومدرسة راهبات المخلصيات في بلدة يارون جنوب لبنان (فيديو)
#اسأل_أكثر #Question_MoreRT STORIES
إسرائيل تشدد إجراءات الجبهة الداخلية في الشمال وتقلص احتفالات "لاغ باعومر" في ميرون
#اسأل_أكثر #Question_MoreRT STORIES
تصعيد متواصل في جنوب لبنان.. غارات إسرائيلية مكثفة واعتراض مسيرات حزب الله
#اسأل_أكثر #Question_MoreRT STORIES
"الأخبار": ترتيبات زيارة عون إلى واشنطن مجمدة
#اسأل_أكثر #Question_MoreRT STORIES
هآرتس: "نسخ لصق".. إسرائيل تستنسخ غزة جنوب لبنان
#اسأل_أكثر #Question_MoreRT STORIES
نواف سلام يتعهد "بمواصلة العمل الجاد" لاستعادة أراضي لبنان المحتلة
#اسأل_أكثر #Question_MoreRT STORIES
الجيش اللبناني يعلن مقتل عسكري مع عدد من أفراد عائلته في غارة إسرائيلية (صورة)
#اسأل_أكثر #Question_MoreRT STORIES
استخدم 24 طنا من المتفجرات.. الجيش الإسرائيلي يعلن تدمير نفق لحزب الله في منطقة رأس البياصة (فيديو)
#اسأل_أكثر #Question_MoreRT STORIES
لبنان.. مظاهرات احتجاجية وسط بيروت تنديدا بالحرب الإسرائيلية (فيديو)
#اسأل_أكثر #Question_More
إسرائيل تواصل غاراتها على لبنان
-
هدنة وحصار المضيق
RT STORIES
الحرس الثوري الإيراني يعلن فرض "قواعد جديدة" لإدارة الخليج ومضيق هرمز
#اسأل_أكثر #Question_MoreRT STORIES
"أسوشيتد برس": البيت الأبيض يبلغ الكونغرس بأنه يعتبر العملية ضد إيران منتهية
#اسأل_أكثر #Question_MoreRT STORIES
عراقجي ولافروف يبحثان موقف إيران من انهاء الصراع مع الولايات المتحدة وإسرائيل ووضع منطقة الخليج
#اسأل_أكثر #Question_MoreRT STORIES
جسر جوي أمريكي ضخم يتجه إلى منطقة الخليج (فيديو)
#اسأل_أكثر #Question_MoreRT STORIES
نائب رئيس البرلمان الإيراني: مضيق هرمز هو "القنبلة الذرية الإيرانية"
#اسأل_أكثر #Question_MoreRT STORIES
عراقجي يجري اتصالات إقليمية لبحث مبادرات الجمهورية الإسلامية إنهاء الحرب
#اسأل_أكثر #Question_MoreRT STORIES
ترامب يعتزم توسيع الحصار البحري على إيران وإغلاق مضيق هرمز لفترة طويلة رغم تداعياته الاقتصادية
#اسأل_أكثر #Question_MoreRT STORIES
الإمارات تطالب في مجلس الأمن بإعادة فتح مضيق هرمز فورا ومحاسبة إيران
#اسأل_أكثر #Question_MoreRT STORIES
خلاف بين الجمهوريين والديمقراطيين حول تفسير مهلة الستين يوما للحرب على إيران
#اسأل_أكثر #Question_MoreRT STORIES
عراقجي يفند ادعاءات البنتاغون: حرب نتنياهو كلفت أمريكا 100 مليار دولار
#اسأل_أكثر #Question_MoreRT STORIES
قرقاش: لا يمكن الوثوق بأي ترتيبات إيرانية لمضيق هرمز
#اسأل_أكثر #Question_MoreRT STORIES
فيتسو: أسعار النفط تعتمد على "جودة نوم ترامب"
#اسأل_أكثر #Question_MoreRT STORIES
إيران ترد على رسالة 6 دول عربية: شاركت في العدوان علينا ويجب محاسبتها
#اسأل_أكثر #Question_MoreRT STORIES
تقرير: إيران تستعيد صواريخ مخبأة تحت الأرض أو مدفونة تحت الركام
#اسأل_أكثر #Question_MoreRT STORIES
مسؤول أمريكي: الأعمال القتالية بين أمريكا وإيران "انتهت" بموجب قانون "صلاحيات الحرب"
#اسأل_أكثر #Question_MoreRT STORIES
كاتس: قد نضطر قريبا لضرب إيران حتى لا يتمكن النظام من تهديدنا لسنوات قادمة
#اسأل_أكثر #Question_More
هدنة وحصار المضيق
-
فيديوهات
RT STORIES
قاعدة بايكونور.. نجاح أول إطلاق تجريبي للصاروخ "سويوز-5"
#اسأل_أكثر #Question_MoreRT STORIES
القدس.. لقطات توثق اعتداء مستوطن إسرائيلي على راهبة مسيحية
#اسأل_أكثر #Question_MoreRT STORIES
روسيا.. تدريبات عسكرية ضخمة استعدادا لعرض عيد النصر في موسكو
#اسأل_أكثر #Question_MoreRT STORIES
جنوب أفريقيا.. سقوط سيارة من منحدر في كيب تاون
#اسأل_أكثر #Question_MoreRT STORIES
تركيا.. تحليق مروحيات وطائرات "إف-16" فوق الملعب أثناء مباراة "فنربخشة" و"قونيا سبور"
#اسأل_أكثر #Question_MoreRT STORIES
الجيش الإسرائيلي يعلن عن القضاء على رئيس قسم العمليات في هيئة الاستخبارات لحركة "حماس"
#اسأل_أكثر #Question_Moreفيديوهات
-
العملية العسكرية الروسية في أوكرانيا
RT STORIES
مقاطعة خاركوف.. لقطات لمعارك تحرير بلدة بوكاليانوي
#اسأل_أكثر #Question_MoreRT STORIES
على خلفية الخسائر الضخمة وفرار الجنود زيلينسكي يغري المشاة بزيادة رواتبهم
#اسأل_أكثر #Question_MoreRT STORIES
الدفاع الروسية: تدمير 100 مسيرة أوكرانية فوق مناطق روسية وبحر آزوف خلال 9 ساعات
#اسأل_أكثر #Question_MoreRT STORIES
"تاس": تصدير المنتجات العسكرية من صربيا والبوسنة والهرسك إلى أوكرانيا مستمر
#اسأل_أكثر #Question_MoreRT STORIES
الجيش الروسي يعلن سيطرته على 10 بلدات وتحييد أكثر من 8000 جندي أوكراني خلال أسبوع
#اسأل_أكثر #Question_MoreRT STORIES
تضرر منشآت طاقة وانقطاعات للكهرباء بعد هجوم أوكراني على مقاطعة زابوروجيه الروسية
#اسأل_أكثر #Question_MoreRT STORIES
واشنطن تطالب الأوروبيين بخفض حدة الخطاب المعادي لموسكو في منظمة العمل الدولية
#اسأل_أكثر #Question_MoreRT STORIES
البنتاغون: لم نخصص أموالا لمساعدة أوكرانيا في ميزانية عام 2027
#اسأل_أكثر #Question_MoreRT STORIES
ظهور فوفا زيلينسكي وأندريه يرماك في "أشرطة مينديتش" الجديدة يثير رعب برلمان أوكرانيا
#اسأل_أكثر #Question_MoreRT STORIES
زيلينسكي يمدد الأحكام العرفية والتعبئة العامة في أوكرانيا 90 يوما
#اسأل_أكثر #Question_MoreRT STORIES
الجيش الروسي يحرر بلدة في دونيتسك ويسيطر على أخرى في سومي (فيديو)
#اسأل_أكثر #Question_Moreالعملية العسكرية الروسية في أوكرانيا
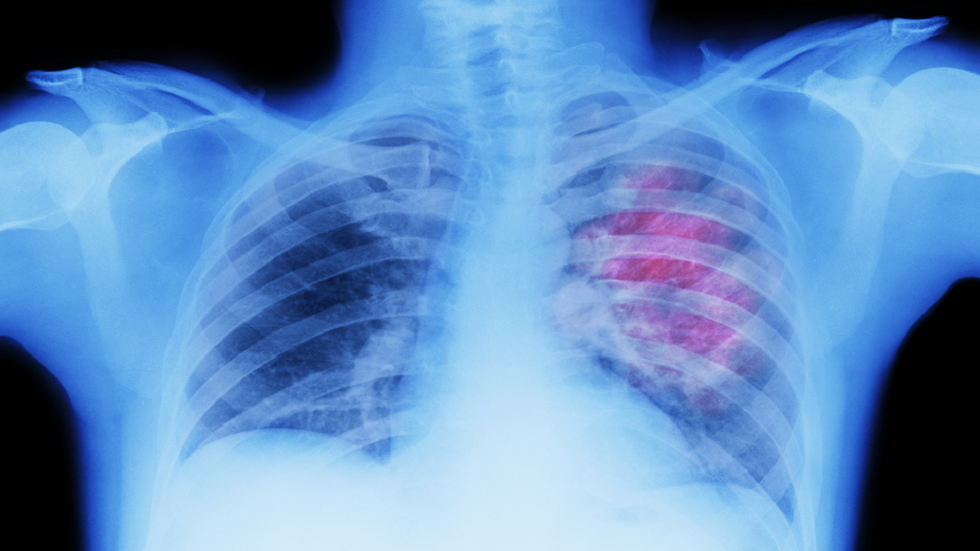
"مصاصة عملاقة تغذي السرطان".. مفتاح جديد لفهم علاقة التغذية بسرطان الرئة
بحثت دراسة جديدة، أجراها باحثون في جامعة فلوريدا للصحة بالتعاون مع مركز ماركي للسرطان بجامعة كنتاكي ومركز يو إف هيلث للسرطان، في تأثير النظام الغذائي على سرطان الرئة.
لطالما ارتبطت بعض أنواع السرطان، مثل سرطان الكبد والبنكرياس، بعوامل غذائية، ما أدى إلى توصيات صحية تحدد مخاطر استهلاك اللحوم الحمراء وبعض الأطعمة الأخرى. غير أن سرطان الرئة لم يكن يُنظر إليه تقليديا على أنه مرض مرتبط بالنظام الغذائي.
ويؤكد الدكتور رامون صن، الأستاذ المشارك ومدير مركز "يو إف لأبحاث الجزيئات الحيوية المكانية المتقدمة"، على هذا المفهوم بقوله: "عندما نتحدث عن السرطان، نربط غالبا أمراضا مثل سرطان البنكرياس أو الكبد بالنظام الغذائي، لكن فيما يخص سرطان الرئة، نادرا ما يتم تناول هذا الجانب".
وأشار الدكتور ماثيو جينتري، الأستاذ ورئيس قسم الكيمياء الحيوية والبيولوجيا الجزيئية في كلية الطب بجامعة فلوريدا، إلى أن هذه الدراسة تعد الأولى من نوعها التي تربط بين سوء التغذية وسرطان الرئة ضمن مركز سرطان معتمد من المعهد الوطني للسرطان.
وفي الدراسة، استعان الباحثون بمنصة استقلابية مكانية متطورة أنشأها الدكتور صن عام 2020، والتي مكنتهم من الكشف عن تفاعلات جزيئية لم تكن معروفة سابقا.
وركزت الدراسة على سرطان الرئة الغدي، الذي يمثل 40% من حالات سرطان الرئة عالميا. واستند البحث إلى دراسات سابقة حول مرض لافورا، وهو اضطراب عصبي نادر يتميز بتراكم الغليكوجين (شكل من أشكال تخزين الغلوكوز في الجسم) بمستويات عالية في الخلايا، ما يؤدي إلى تدهور عصبي سريع. وقد كشفت الدراسة أن الغليكوجين يعمل كمحفز لنمو الخلايا السرطانية في الرئة، وكأنه "مصاصة عملاقة تغذي رغبة السرطان في الحلويات".
تلوث الهواء "يرفع" معدلات سرطان الرئة بين غير المدخنين عالميا
وأظهرت التجارب أن ارتفاع مستويات الغليكوجين في الخلايا السرطانية يؤدي إلى زيادة حجم الأورام. وعندما خضعت الفئران لنظام غذائي غربي غني بالدهون والفركتوز – ما يرفع مستويات الغليكوجين في الدم – لوحظ نمو متسارع للأورام السرطانية في الرئة.
وعلى العكس، عندما انخفضت مستويات الغليكوجين، تباطأ نمو الأورام بشكل ملحوظ.
ويقول صن: "يعد الغليكوجين مؤشرا قويا لنمو الأورام السرطانية واحتمالية الوفاة لدى مرضى سرطان الرئة".
وورغم أن هذه الدراسة تعد من أوائل الأبحاث التي تربط سرطان الرئة بالنظام الغذائي، فإن دور التغذية في الوقاية من السرطان ظل محل اهتمام لعقود.
ويشدد الدكتور صن على أهمية التوعية الغذائية، قائلا: "على المدى الطويل، ينبغي أن يكون نهج الوقاية من السرطان مشابها لحملات مكافحة التدخين، من خلال التوعية العامة ووضع استراتيجيات صحية قائمة على السياسات، تشجع الأفراد على تبني خيارات غذائية صحية للوقاية من المرض".
ويشير جينتري إلى أن التركيز على خفض مستويات الغليكوجين قد يفتح الباب أمام خيارات علاجية جديدة. ويوضح أن هناك 3 أدوية متاحة حاليا تستهدف الغليكوجين، وقد تم تطويرها بناء على أبحاث مرض لافورا، ما يعني إمكانية استخدامها مستقبلا في علاج سرطان الرئة.
نشرت نتائج الدراسة في مجلة Nature Metabolism.
المصدر: ميديكال إكسبريس
إقرأ المزيد
الصين.. آلية جديدة لعلاج السرطان باستخدام بكتيريا معدلة وراثيا
طور فريق علمي صيني آلية باستخدام بكتيريا معدلة وراثيا يمكنها إحداث نقلة نوعية في علاج السرطان دون التأثير على الأنسجة السليمة.
فترة بقاء المصاب بسرطان الرئة على قيد الحياة
يشير البروفيسور قسطنطين لاكتيونوف النائب الأول لمدير مركز بلوخين لبحوث السرطان، إلى أن فترة بقاء الشخص المصاب بسرطان الرئة على قيد الحياة تعتمد على مرحلة تشخيص المرض.
علامات مفاجئة لسرطان الرئة يجب معرفتها
أفاد خبراء صحيون أنه إذا قلقنا بشأن احتمال الإصابة بسرطان الرئة، فهناك عدة علامات يمكن أن تساعد على تحديد ما إذا كان من الضروري استشارة طبيب.
لماذا يعاني مرضى سرطان الرئة غير المدخنين من استجابة أسوأ للعلاجات؟
اكتشف علماء السبب وراء فشل العلاج المستهدف لسرطان الرئة ذو الخلايا غير الصغيرة لدى بعض المرضى، وخاصة أولئك الذين لم يدخنوا أبدا.
الأعراض المقلقة لأمراض الرئة
يشير الدكتور أندريه نيفيدوف أخصائي وجراح الأورام، إلى أن الكثيرين لا يراجعون الأطباء إلا عندما يعانون من أعراض تستمر لفترة طويلة.
علامة صغيرة لسرطان الرئة يمكن رؤيتها على اليد اليمنى
تشير التقارير الطبية إلى أن سرطان الرئة هو السبب الرئيسي الأول للوفيات الناتجة عن السرطان حول العالم.
علامات تطور سرطان الرئة
أعلن خبراء منظمة بحوث السرطان البريطانية، ان ثمانية أعراض لسرطان الرئة يمكن أن تظهر قبل ستة أشهر من تشخيص الإصابة به.
العلامات الأكثر شيوعا لسرطان الرئة
يعد سرطان الرئة أحد أكثر أنواع السرطانات شيوعا، وهو أيضا من أخطرها على الإطلاق.
التعليقات