Stories
-
نبض الملاعب
RT STORIES
ميسي يقود إنتر ميامي لفوز مثير على سينسيناتي
#اسأل_أكثر #Question_MoreRT STORIES
مونديال 2026 يواجه أول أزمة دبلوماسية بسبب إيران
#اسأل_أكثر #Question_MoreRT STORIES
لأول مرة في كأس العالم.."فيفا" يفاجئ العالم بعرض فني تاريخي
#اسأل_أكثر #Question_MoreRT STORIES
صدام محتمل.. هل نشهد قمة تاريخية بين ميسي ورونالدو في كأس العالم 2026؟
#اسأل_أكثر #Question_MoreRT STORIES
أزمة جديدة تضرب "فيفا".. تحقيق أمريكي في تذاكر مونديال 2026
#اسأل_أكثر #Question_MoreRT STORIES
مفاجأة في مدريد.. ريال يجهز بديلا غير متوقع لمورينيو
#اسأل_أكثر #Question_MoreRT STORIES
إعفاء جماهير 5 منتخبات عربية وإفريقية من شرط مالي مثير للجدل قبل مونديال 2026
#اسأل_أكثر #Question_More
نبض الملاعب
-
هدنة وحصار المضيق
RT STORIES
باقري كني: الحرب على إيران هي بداية الهجوم على الجنوب العالمي وتهدف لمنع نهوض آسيا
#اسأل_أكثر #Question_MoreRT STORIES
وكالة "فارس": بدء عبور السفن الصينية عبر مضيق هرمز منذ الليلة الماضية
#اسأل_أكثر #Question_MoreRT STORIES
مسؤولون إسرائيليون: سنرفع حالة التأهب القصوى تحسبا لقرار ترامب استئناف الحرب
#اسأل_أكثر #Question_MoreRT STORIES
إيران تدافع عن احتجاز ناقلات نفط أمريكية: "أحكام قضائية مشروعة"
#اسأل_أكثر #Question_MoreRT STORIES
UKMTO: الاستيلاء على سفينة قبالة الفجيرة وتتجه نحو المياه الإيرانية
#اسأل_أكثر #Question_MoreRT STORIES
عراقجي من "بريكس": لا حل عسكريا لإيران.. وشعبنا مسالم لكنه لا يقهر
#اسأل_أكثر #Question_MoreRT STORIES
"فانس يهدد وقاليباف يصمد".. إيران تكشف خفايا المفاوضات الأمريكية الفاشلة
#اسأل_أكثر #Question_MoreRT STORIES
طهران تتهم واشنطن باستغلال مجلس الأمن لتوفير غطاء سياسي لإجراءاتها "غير القانونية"
#اسأل_أكثر #Question_MoreRT STORIES
كوريا الجنوبية ترسل فريق تحقيق إلى دبي وتستبعد تورط غير إيران باستهداف السفينة "نامو"
#اسأل_أكثر #Question_MoreRT STORIES
أوباما يدافع عن الاتفاق النووي: "لم نضطر لقتل الناس أو إغلاق هرمز"
#اسأل_أكثر #Question_More
هدنة وحصار المضيق
-
العملية العسكرية الروسية في أوكرانيا
RT STORIES
ناريشكين: في حال فشلت الدبلوماسية لتسوية النزاع في أوكرانيا فإن روسيا ستقوم بذلك بالوسائل العسكرية
#اسأل_أكثر #Question_MoreRT STORIES
الدفاع الروسية: استهداف مواقع مرتبطة بالجيش الأوكراني بصواريخ فرط صوتية وتحرير بلدة في دونيتسك
#اسأل_أكثر #Question_MoreRT STORIES
شويغو: السلام المستدام في أوكرانيا لن يتحقق إلا بمعالجة الأسباب الجذرية للنزاع
#اسأل_أكثر #Question_MoreRT STORIES
روسيا.. اعتقال مواطنين من القرم زودا أوكرانيا بمعلومات عسكرية سرية
#اسأل_أكثر #Question_MoreRT STORIES
الخارجية الروسية: زيارات ويتكوف وكوشنر إلى موسكو صريحة ومفيدة
#اسأل_أكثر #Question_MoreRT STORIES
روبيو: مستعدون لمواصلة وساطتنا في التسوية الأوكرانية ولا نمانع دخول آخرين على الخط
#اسأل_أكثر #Question_More
العملية العسكرية الروسية في أوكرانيا
-
إسرائيل تواصل غاراتها على لبنان
RT STORIES
نزوح عشرات العائلات من البقاع الغربي وجنوب لبنان عقب التهديدات الإسرائيلية
#اسأل_أكثر #Question_MoreRT STORIES
فيديو يوثق حجم الدمار جراء غارة إسرائيلية في بلدة تفاحتا
#اسأل_أكثر #Question_MoreRT STORIES
بالفيديو.. غارة جوية إسرائيلية تستهدف بلدة القصيبة
#اسأل_أكثر #Question_MoreRT STORIES
قتلى بغارات في جنوب لبنان والجيش الإسرائيلي يستهدف البقاع قبيل بدء مفاوضات واشنطن
#اسأل_أكثر #Question_MoreRT STORIES
بري: لا نقبل بأقل من انسحاب إسرائيل وعودة الأهالي في مفاوضات اليوم بواشنطن
#اسأل_أكثر #Question_MoreRT STORIES
اليونيسف: مقتل وإصابة 59 طفلا على الأقل في لبنان خلال الأسبوع الماضي رغم وقف النار
#اسأل_أكثر #Question_Moreإسرائيل تواصل غاراتها على لبنان
-
زيارة ترامب إلى الصين
RT STORIES
شي جين بينغ مرحبا بترامب: "التجديد الصيني وMAGA يسيران يدا بيد"
#اسأل_أكثر #Question_MoreRT STORIES
البيت الأبيض: ترامب وشي يتفقان على إبقاء هرمز مفتوحا ومنع إيران من امتلاك السلاح النووي
#اسأل_أكثر #Question_MoreRT STORIES
ترامب: المحادثات مع شي جين بينغ سارت بشكل "ممتاز"
#اسأل_أكثر #Question_MoreRT STORIES
وفد أمريكي رفيع من رجال الأعمال يرافق ترامب في زيارته إلى الصين وبكين ترحب
#اسأل_أكثر #Question_MoreRT STORIES
روبيو: نترقب تحركا صينيا في مجلس الأمن بشأن مشروع قرار هرمز
#اسأل_أكثر #Question_MoreRT STORIES
بدء مباحثات القمة بين الرئيسين الصيني والأمريكي في قاعة الشعب الكبرى في بكين
#اسأل_أكثر #Question_MoreRT STORIES
روبيو: لسنا بصدد احتواء الصين ولكن لا ينبغي أن يصاحب صعودها سقوطنا
#اسأل_أكثر #Question_More
زيارة ترامب إلى الصين
-
الملاكمة العالمية على موعد مع ليلة استثنائية في المكسيك
RT STORIES
الملاكمة العالمية على موعد مع ليلة استثنائية في المكسيك
#اسأل_أكثر #Question_More
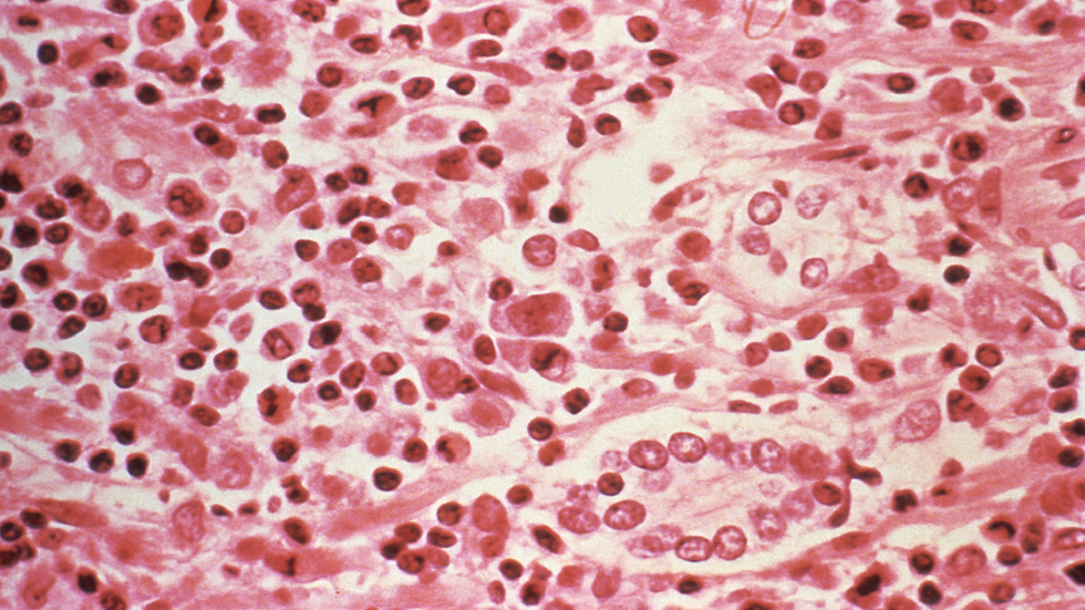
طبيب يكشف ما يمكن توقعه من فيروس حمى الفأر
لم ينتبه أحد حتى قبل خمس سنوات إلى الأخبار المتعلقة بالفيروسات. بيد أن جائحة "كوفيد-19" جعلت الجميع يتابعون باهتمام كل ما يتعلق بالفيروسات.
وقد حذرت منظمة الصحة العالمية من وباء محتمل أخطر من جائحة "كوفيد-19"، فما هو الفيروس المسبب للوباء الذي حذرت منه منظمة الصحة العالمية؟
ما هو فيروس هانتا وما مدى خطورته على الإنسان؟
وتشير الدكتورة يلينا مالينيكوفا، رئيسة قسم علم الفيروسات في الأكاديمية الطبية الروسية للتعليم المهني المستمر، بالطبع بالإضافة إلى الفيروس التاجي المستجد هناك فيروسات خطيرة كثيرة على الأرض. وأحد هذه الفيروسات يسمى فيروس هانتا المسبب لحمى الفأر، الذي بعض أنواعه تصيب الإنسان أيضا. تنتقل فيروسات هانتا عن طريق القوارض وبصورة خاصة الفئران. ويسبب فيروس هانتا الحمى النزفية المصحوبة بمتلازمة الكلى.
وتقول: "عند الإطلاع على الأوبئة التي تسببها فيروسات هانتا، سنرى أنها اكثر انتشارا في الصين وروسيا. وتشير التقارير حاليا إلى ظهور نسخة جديدة من فيروس هانتا، يمكن أن تصيب الإنسان مباشرة، وهذا أمر خطير جدا".
ووفقا لها، فيروس هانتا خطير جدا ولكن لا داعي للخوف منه، لأن عدد الإصابات المسجلة ليست كثيرة. وبالإضافة إلى ذلك هذا الفيروس مدرج رسميا في قائمة أسلحة الإرهاب البيولوجي.
المصدر: فيستي. رو
إقرأ المزيد
بفضل قطة.. اكتشاف فيروس "غير مسبوق" قد يشكل تهديدا للبشر
أفادت تقارير باكتشاف فيروس غير مسبوق قد يشكل تهديدا للبشر في ولاية فلوريدا الأمريكية.
التعليقات