Stories
-
هدنة وحصار المضيق
RT STORIES
تقرير: تدمير أو تضرر 42 طائرة أمريكية خلال النزاع مع إيران
#اسأل_أكثر #Question_MoreRT STORIES
قرقاش: الموقف الرمادي أخطر من اللا موقف وخلط الأدوار خلال العدوان الإيراني الغاشم محير
#اسأل_أكثر #Question_MoreRT STORIES
نيبينزيا يدين الهجمات على المحطة النووية في الإمارات: لولا المغامرة الأمريكية الإسرائيلية ما حدث ذلك
#اسأل_أكثر #Question_MoreRT STORIES
الخارجية القطرية: الدوحة تواصل دعم جهود باكستان ولكن لا يمكن التكهن بنتائج الاتصالات الجارية
#اسأل_أكثر #Question_MoreRT STORIES
زاخاروفا تعلق على التهديدات الأمريكيية لإيران بقصف جوي جديد
#اسأل_أكثر #Question_MoreRT STORIES
المرشد الأعلى الإيراني: أحد إنجازات الحرب الأخيرة هو ارتقاء بلادنا إلى مصاف الدول العظمى المؤثرة
#اسأل_أكثر #Question_MoreRT STORIES
ترامب يمهل طهران ثلاثة أيام للوصول إلى اتفاق
#اسأل_أكثر #Question_MoreRT STORIES
الدفاع الإماراتية: المسيرة التي اعتدت على محطة براكة للطاقة النووية بأبوظبي قدمت من الأراضي العراقية
#اسأل_أكثر #Question_MoreRT STORIES
"نفاق صارخ".. إيران ترد على اتهامات المستشار الألماني بشأن الهجوم على منشآت نووية بالإمارات
#اسأل_أكثر #Question_MoreRT STORIES
الخزانة الأمريكية توسع قائمة العقوبات ضد إيران وتضيف 28 مؤسسة و19 ناقلة نفط و4 أفراد
#اسأل_أكثر #Question_MoreRT STORIES
"تسنيم": إسرائيل وراء الهجوم بالمسيرات على الإمارات لتحريضها ضد إيران
#اسأل_أكثر #Question_MoreRT STORIES
بينها وقف الحرب على جبهة لبنان.. إيران تعرض مقترحها الأخير للتفاوض مع واشنطن
#اسأل_أكثر #Question_MoreRT STORIES
الأسباب الحقيقية وراء تأجيل ترامب مهاجمة إيران مجددا
#اسأل_أكثر #Question_MoreRT STORIES
ترامب يشن هجوما جديدا: حتى لو استسلمت إيران بالكامل سيحتفل الإعلام "الفاسد" بانتصارها
#اسأل_أكثر #Question_MoreRT STORIES
طهران: الولايات المتحدة أبدت مرونة بشأن البرنامج النووي
#اسأل_أكثر #Question_More
هدنة وحصار المضيق
-
نبض الملاعب
RT STORIES
بصورة غامضة.. محمد صلاح يثير جدلا جديدا (صورة)
#اسأل_أكثر #Question_MoreRT STORIES
وعود ودموع وتوتر.. رد فعل نيمار عند إعلان استدعائه للمونديال (فيديو)
#اسأل_أكثر #Question_MoreRT STORIES
برسالة مقتضبة.. أول تعليق من كريستيانو رونالدو عقب الكشف عن قائمة البرتغال لكأس العالم 2026 (صورة)
#اسأل_أكثر #Question_MoreRT STORIES
ألكاراز يعلن غيابه رسميا عن بطولة ويمبلدون للتنس (فيديو)
#اسأل_أكثر #Question_MoreRT STORIES
"زلزال جديد في مدريد".. كيليان مبابي يكتشف عدوه القريب في ريال مدريد (فيديو)
#اسأل_أكثر #Question_MoreRT STORIES
رسميا.. مجموعة المنتخبات العربية في تصفيات كأس أمم إفريقيا 2027
#اسأل_أكثر #Question_MoreRT STORIES
ليلة مشتعلة في WWE.. بروك ليسنر ينتقم من جاكوب فاتو (فيديو)
#اسأل_أكثر #Question_MoreRT STORIES
بعد تصريحات محمد صلاح النارية.. ليفربول يتخذ قرارا مفاجئا بشأن مستقبل سلوت
#اسأل_أكثر #Question_MoreRT STORIES
ضربة قوية لإسبانيا.. لامين جمال يغيب عن بداية المونديال بمواجهتي الرأس الأخضر والسعودية
#اسأل_أكثر #Question_MoreRT STORIES
عودة الوحش.. ليسنر يسحق أوبا فيمي في مواجهة مثيرة
#اسأل_أكثر #Question_MoreRT STORIES
تصرف صادم في هامبورغ.. لاعب تنس يخلع ملابسه أثناء المباراة
#اسأل_أكثر #Question_MoreRT STORIES
نيمار ينفجر فرحا في بث مباشر بعد العودة لمنتخب البرازيل
#اسأل_أكثر #Question_MoreRT STORIES
زينيت يشعل شوارع بطرسبورغ بموكب التتويج والكأس الذهبية
#اسأل_أكثر #Question_MoreRT STORIES
بالفيديو.. رد فعل هستيري لعائلة ويفرتون بعد حلم المونديال
#اسأل_أكثر #Question_MoreRT STORIES
محرز يرد على شائعات الرحيل ويكشف موقفه النهائي من الأهلي السعودي
#اسأل_أكثر #Question_MoreRT STORIES
مفاجأة.. غوارديولا يتخذ قرارا حاسما بشأن مستقبله مع مانشستر سيتي
#اسأل_أكثر #Question_MoreRT STORIES
"كاف" يعلن تصنيف المنتخبات قبل قرعة تصفيات كأس أمم إفريقيا
#اسأل_أكثر #Question_MoreRT STORIES
"وداع مؤثر في أنفليد".. ليفربول يعلن موعد التكريم الخاص لمحمد صلاح وروبرتسون
#اسأل_أكثر #Question_More
نبض الملاعب
-
زيارة بوتين إلى الصين
RT STORIES
شينخوا: زيارة بوتين إلى الصين ترفع العلاقات الثنائية إلى "مستويات أعلى"
#اسأل_أكثر #Question_MoreRT STORIES
استقبال حار للرئيس الروسي فلاديمير بوتين في مطار بكين
#اسأل_أكثر #Question_MoreRT STORIES
بوتين يبدأ زيارته الرسمية إلى بكين
#اسأل_أكثر #Question_MoreRT STORIES
لحظة بلحظة.. بوتين يصل إلى الصين في زيارة رسمية
#اسأل_أكثر #Question_MoreRT STORIES
ميرتس: نتابع زيارة بوتين للصين.. ونأمل في دور بكين لإنهاء الحرب
#اسأل_أكثر #Question_MoreRT STORIES
ليخاتشوف: "روساتوم" ستوقع ثلاث وثائق مع شركائها الصينيين خلال زيارة بوتين
#اسأل_أكثر #Question_MoreRT STORIES
بكين مرحبة بزيارة بوتين: نحن على ثقة بأن الصداقة الصينية الروسية ستزداد رسوخا
#اسأل_أكثر #Question_MoreRT STORIES
مانتوروف: روسيا والصين تستعيدان الديناميكية الإيجابية للتبادل التجاري خلال 2026
#اسأل_أكثر #Question_MoreRT STORIES
بوتين: العلاقات الروسية الصينية بلغت مستوى غير مسبوق
#اسأل_أكثر #Question_MoreRT STORIES
أوشاكوف: رئيسا روسيا والصين سيتبنيان إعلانا حول إقامة عالم متعدد الأقطاب
#اسأل_أكثر #Question_MoreRT STORIES
أوشاكوف يعلق على "المواعيد المتقاربة" لزيارتي بوتين وترامب إلى الصين
#اسأل_أكثر #Question_MoreRT STORIES
"الغارديان": الغرب قلق إزاء تعزيز العلاقات بين روسيا والصين
#اسأل_أكثر #Question_MoreRT STORIES
موسكو وبكين تحتفلان بثلاثين عاما من الشراكة خلال قمة بوتين - شي
#اسأل_أكثر #Question_MoreRT STORIES
استخباراتي أمريكي: الصين ترحب دائما ببوتين على خلاف ترامب
#اسأل_أكثر #Question_More
زيارة بوتين إلى الصين
-
العملية العسكرية الروسية في أوكرانيا
RT STORIES
الأمم المتحدة تؤكد دعمها لحرية الإعلام ردا على هجمات الاتحاد الأوروبي على الصحفيين الروس
#اسأل_أكثر #Question_MoreRT STORIES
الدفاع الجوي يسقط 56 مسيرة معادية فوق روسيا خلال 6 ساعات
#اسأل_أكثر #Question_MoreRT STORIES
مجموعة السبع تؤكد العمل على دراسة خيارات تمويل دعم أوكرانيا
#اسأل_أكثر #Question_MoreRT STORIES
نيبينزيا: الرد الروسي سيكون حتميا حال إطلاق مسيرات من دول البلطيق
#اسأل_أكثر #Question_MoreRT STORIES
"يورونيوز": الولايات المتحدة قد لا تعترف بمبعوث خاص محتمل للاتحاد الأوروبي إلى أوكرانيا
#اسأل_أكثر #Question_MoreRT STORIES
وزير الدفاع الإستوني يعلن إسقاط مسيرة يرجح أنها أوكرانية
#اسأل_أكثر #Question_MoreRT STORIES
الجيش الروسي يسيطر على بلدة في خاركوف
#اسأل_أكثر #Question_MoreRT STORIES
مدفيديف ردا على دول البلطيق: كلما صغر الحجم كان النباح أعلى
#اسأل_أكثر #Question_MoreRT STORIES
"إحداثياتكم معروفة والناتو لن يحميكم".. روسيا تحذر لاتفيا من تحويل أراضيها منصة لمسيرات أوكرانية
#اسأل_أكثر #Question_MoreRT STORIES
هجوم أوكراني ليلي مكثف على إنيرغودار وسط تطمينات بسلامة المفاعل النووي
#اسأل_أكثر #Question_MoreRT STORIES
ميروشنيك: أوكرانيا تشن هجومها الأعنف بالمسيرات على موسكو
#اسأل_أكثر #Question_MoreRT STORIES
أسير كولومبي: القوات الأوكرانية طالبتني بأكثر من 10 آلاف دولار بعد إبلاغهم برغبتي في العودة إلى بلدي
#اسأل_أكثر #Question_MoreRT STORIES
الرئيس الصربي: روسيا لم تستخدم إلا جزءا من ترسانتها خلال عمليتها العسكرية الخاصة في أوكرانيا
#اسأل_أكثر #Question_MoreRT STORIES
ميرتس يوجّه رسالة مزدوجة إلى بوتين بشأن مسار الحوار
#اسأل_أكثر #Question_MoreRT STORIES
محطة زابوروجيه النووية تؤكد عدم وجود أضرار جوهرية بعد الهجوم الأوكراني
#اسأل_أكثر #Question_MoreRT STORIES
باسيتشنيك: مقتل فتاة جراء قصف مسيرة جوية أوكرانية لحافلة مدنية في لوغانسك
#اسأل_أكثر #Question_MoreRT STORIES
وزير الخارجية التركي: الصراع في أوكرانيا يتسبب في أضرار جسيمة لأوروبا
#اسأل_أكثر #Question_MoreRT STORIES
ليبيديف: قصف قوي قرب أوديسا على تجمع لمدربين فرنسيين متورطين في الهجمات على روسيا
#اسأل_أكثر #Question_MoreRT STORIES
"لا ترتكبوا هذا الخطأ الجسيم معه".. ميركل تقدم نصيحة للسياسيين الأوروبيين تخص بوتين
#اسأل_أكثر #Question_MoreRT STORIES
مرتزق كولومبي يدعو مواطني بلاده إلى عدم القتال في صفوف القوات الأوكرانية
#اسأل_أكثر #Question_MoreRT STORIES
الدفاع الأوكرانية تشتري دفعة تجريبية من قنابل جوية موجهة محلية الصنع
#اسأل_أكثر #Question_MoreRT STORIES
الدفاع الروسية: هجوم مكثف على صناعات ومطارات عسكرية في أوكرانيا ومواقع بنية تحتية مرتبطة بجيشها
#اسأل_أكثر #Question_More
العملية العسكرية الروسية في أوكرانيا
-
إسرائيل تواصل غاراتها على لبنان
RT STORIES
رسميا.. الجيش الإسرائيلي يعلن مقتل الرائد إيتمار سبير في معارك جنوب لبنان (صور)
#اسأل_أكثر #Question_MoreRT STORIES
الصحة اللبنانية: 3020 قتيلا و9273 جريحا حصيلة العدوان الإسرائيلي منذ 2 مارس
#اسأل_أكثر #Question_More
إسرائيل تواصل غاراتها على لبنان
-
فيديوهات
RT STORIES
حاملة الطائرات الأمريكية البرمائية تتجه إلى الشرق الأوسط
#اسأل_أكثر #Question_MoreRT STORIES
مسلحون من قبيلة بختياري يسيرون في طهران لمبايعة خامنئي
#اسأل_أكثر #Question_MoreRT STORIES
الجيش الإسرائيلي يعترض سفينة أخرى تابعة لأسطول الصمود العالمي المتجهة إلى غزة
#اسأل_أكثر #Question_MoreRT STORIES
طهران .. حفل زفاف جماعي على متن عربات عسكرية في ذكرى "زواج الإمام علي"
#اسأل_أكثر #Question_MoreRT STORIES
إصابات جراء اصطدام حافلة بعمود كهرباء في تل أبيب
#اسأل_أكثر #Question_MoreRT STORIES
لحظة إطلاق نار من سيارة أسفر عن مقتل 4 أشخاص جنوبي تركيا
#اسأل_أكثر #Question_MoreRT STORIES
لحظة هبوط اضطراي لطائرة مائية وسط أحد الشوارع الأمريكية
#اسأل_أكثر #Question_MoreRT STORIES
الآلاف يتظاهرون في صنعاء في مسيرة مليونية نصرة للقرآن والأقصى وتضامنا مع لبنان
#اسأل_أكثر #Question_MoreRT STORIES
شاهد.. أرنب بري يسقط سائق سكوتر كهربائي أثناء قفزه المفاجئ
#اسأل_أكثر #Question_MoreRT STORIES
الرئيس الإسرائيلي يتسلم أوراق اعتماد سفير صومالي لاند
#اسأل_أكثر #Question_MoreRT STORIES
المنتخب الإيراني لكرة القدم يصل تركيا استعدادا لكأس العالم
#اسأل_أكثر #Question_MoreRT STORIES
المكسيك تدمر 5 مصانع سرية للمخدرات في حملة مكافحة عصابات المخدرات
#اسأل_أكثر #Question_More
فيديوهات
-
مقتل 12 وإصابة 15 أكثر من إثر القصف الإسرائيلي على لبنان الثلاثاء
RT STORIES
مقتل 12 وإصابة 15 أكثر من إثر القصف الإسرائيلي على لبنان الثلاثاء
#اسأل_أكثر #Question_More -
لحظة بلحظة.. تحت غطاء "وقف النار" إسرائيل تواصل عملياتها في لبنان
RT STORIES
لحظة بلحظة.. تحت غطاء "وقف النار" إسرائيل تواصل عملياتها في لبنان
#اسأل_أكثر #Question_More
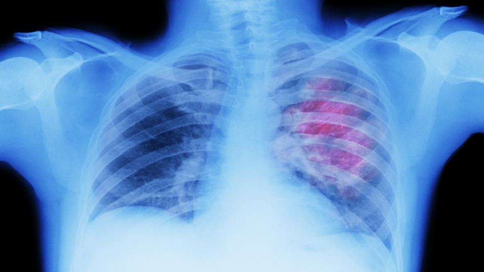
روسيا.. بروتين صناعي للكشف السريع عن السرطان
ابتكر علماء كراسنويارسك بروتينا هجينا صناعيا للكشف السريع عن علامات مرض السرطان.
عقار واعد لـ "نجمة الموت'' يعالج سرطان الرئة!
ويشير مركز كراسنويارسك العلمي التابع لفرع أكاديمية العلوم الروسية في سيبيريا إلى أن "علماء من كراسنويارسك ابتكروا بروتينات هجينة صناعية جديدة قادرة على الكشف عن علامات الإصابة بسرطان الدم وإرسال إشارة مضيئة عنها. إن هذه المنظومة للاختبارات واعدة لتشخيص الإصابة بالسرطان بدقة عالية".
واتضح للباحثين، أن هذه البروتينات الصناعية مستقرة ونشطة. وعلاوة على ذلك تحتفظ بخصائصها ستة أشهر في حالة تخزينها مجمدة أو في محاليل، حيث لا تفقد أكثر من 10-15 بالمئة من نشاطها. أي يمكن أن تصبح هذه البروتينات أساس منظومات اختبارات تشخيص الإصابة بسرطان الدم. ووفقا للباحثين يمكن أن تجرى هذه الاختبارات بمرحلة واحدة، ما يخفض من تكلفة الاختبار.
المصدر: تاس
التعليقات