Stories
-
نبض الملاعب
RT STORIES
مفاجأة.. غوارديولا يتخذ قرارا حاسما بشأن مستقبله مع مانشستر سيتي
#اسأل_أكثر #Question_MoreRT STORIES
"كاف" يعلن تصنيف المنتخبات قبل قرعة تصفيات كأس أمم إفريقيا
#اسأل_أكثر #Question_MoreRT STORIES
إعلامي بريطاني يشن هجوما كاسحا على محمد صلاح بعد بيانه الناري (صورة)
#اسأل_أكثر #Question_MoreRT STORIES
"وثيقة تثير الجدل".. ما حقيقة إعادة كأس إفريقيا لمنتخب السنغال؟ (صورة)
#اسأل_أكثر #Question_MoreRT STORIES
قبل نهائي دوري الأبطال.. ما موقف عثمان ديمبلي من المشاركة ضد أرسنال؟
#اسأل_أكثر #Question_MoreRT STORIES
نجم برشلونة يربك حسابات منتخب إسبانيا قبل كأس العالم 2026
#اسأل_أكثر #Question_MoreRT STORIES
رسميا.. ريال مدريد يعلن رحيل قائده بنهاية الموسم (فيديو)
#اسأل_أكثر #Question_MoreRT STORIES
"وداع مؤثر في أنفليد".. ليفربول يعلن موعد التكريم الخاص لمحمد صلاح وروبرتسون
#اسأل_أكثر #Question_MoreRT STORIES
رسميا.. برشلونة يجدد عقد هانز فليك
#اسأل_أكثر #Question_MoreRT STORIES
غريزمان يعتذر باكيا لجماهير أتلتيكو: الرحيل إلى برشلونة كان خطأ عمري
#اسأل_أكثر #Question_MoreRT STORIES
إيران تتلقى ضمانات دولية وتؤكد حضورها في المونديال
#اسأل_أكثر #Question_MoreRT STORIES
تصريحات نارية من روني ضد محمد صلاح
#اسأل_أكثر #Question_MoreRT STORIES
أغرب احتفال بلقب في تاريخ باريس سان جيرمان
#اسأل_أكثر #Question_MoreRT STORIES
الجمباز الدولي ينهي حقبة الحياد للرياضيين الروس
#اسأل_أكثر #Question_MoreRT STORIES
مفاجأة في الترشيحات.. من يخطف جائزة أفضل لاعب في مونديال 2026؟
#اسأل_أكثر #Question_More
نبض الملاعب
-
العملية العسكرية الروسية في أوكرانيا
RT STORIES
الرئيس الصربي: روسيا لم تستخدم إلا جزءا من ترسانتها خلال عمليتها العسكرية الخاصة في أوكرانيا
#اسأل_أكثر #Question_MoreRT STORIES
تصريح غريب من ميرتس حول المفاوضات مع روسيا
#اسأل_أكثر #Question_MoreRT STORIES
محطة زابوروجيه النووية تؤكد عدم وجود أضرار جوهرية بعد الهجوم الأوكراني
#اسأل_أكثر #Question_MoreRT STORIES
باسيتشنيك: مقتل فتاة جراء قصف مسيرة جوية أوكرانية لحافلة مدنية في لوغانسك
#اسأل_أكثر #Question_MoreRT STORIES
وزير الخارجية التركي: الصراع في أوكرانيا يتسبب في أضرار جسيمة لأوروبا
#اسأل_أكثر #Question_MoreRT STORIES
ليبيديف: قصف قوي قرب أوديسا على تجمع لمدربين فرنسيين متورطين في الهجمات على روسيا
#اسأل_أكثر #Question_MoreRT STORIES
"لا ترتكبوا هذا الخطأ الجسيم معه".. ميركل تقدم نصيحة للسياسيين الأوروبيين تخص بوتين
#اسأل_أكثر #Question_MoreRT STORIES
مرتزق كولومبي يدعو مواطني بلاده إلى عدم القتال في صفوف القوات الأوكرانية
#اسأل_أكثر #Question_MoreRT STORIES
الدفاع الأوكرانية تشتري دفعة تجريبية من قنابل جوية موجهة محلية الصنع
#اسأل_أكثر #Question_MoreRT STORIES
الدفاع الروسية: هجوم مكثف على صناعات ومطارات عسكرية في أوكرانيا ومواقع بنية تحتية مرتبطة بجيشها
#اسأل_أكثر #Question_MoreRT STORIES
روسيا تنفي ادعاءات كييف بالتخطيط لهجمات من بيلاروس وتصفها بـ"التحريض على التصعيد"
#اسأل_أكثر #Question_MoreRT STORIES
أوكرانيا: هجوم روسي كبير بالصواريخ والمسيرات الليلة الماضية
#اسأل_أكثر #Question_MoreRT STORIES
مصدر أمني: فيروس "هانتا" ينتشر في صفوف القوات الأوكرانية على جبهة مقاطعة سومي
#اسأل_أكثر #Question_MoreRT STORIES
بوشيلين يعلن عن تقدم القوات الروسية على ثلاث جبهات في دونيتسك
#اسأل_أكثر #Question_MoreRT STORIES
المدفعية الأوكرانية تقصف محطة زابوروجيه الكهروذرية
#اسأل_أكثر #Question_More
العملية العسكرية الروسية في أوكرانيا
-
فيديوهات
RT STORIES
لحظة إطلاق نار من سيارة أسفر عن مقتل 4 أشخاص جنوبي تركيا
#اسأل_أكثر #Question_MoreRT STORIES
لحظة هبوط اضطراي لطائرة مائية وسط أحد الشوارع الأمريكية
#اسأل_أكثر #Question_MoreRT STORIES
الآلاف يتظاهرون في صنعاء في مسيرة مليونية نصرة للقرآن والأقصى وتضامنا مع لبنان
#اسأل_أكثر #Question_MoreRT STORIES
شاهد.. أرنب بري يسقط سائق سكوتر كهربائي أثناء قفزه المفاجئ
#اسأل_أكثر #Question_MoreRT STORIES
الرئيس الإسرائيلي يتسلم أوراق اعتماد سفير صومالي لاند
#اسأل_أكثر #Question_MoreRT STORIES
المنتخب الإيراني لكرة القدم يصل تركيا استعدادا لكأس العالم
#اسأل_أكثر #Question_MoreRT STORIES
المكسيك تدمر 5 مصانع سرية للمخدرات في حملة مكافحة عصابات المخدرات
#اسأل_أكثر #Question_More
فيديوهات
-
هدنة وحصار المضيق
RT STORIES
ترامب يشن هجوما جديدا: حتى لو استسلمت إيران بالكامل سيحتفل الإعلام "الفاسد" بانتصارها
#اسأل_أكثر #Question_MoreRT STORIES
إيران تكشف لأول مرة تفاصيل إصابة مجتبى خامنئي في اليوم الأول من "حرب رمضان"
#اسأل_أكثر #Question_MoreRT STORIES
طهران: الولايات المتحدة أبدت مرونة بشأن البرنامج النووي
#اسأل_أكثر #Question_MoreRT STORIES
الرئيس الإيراني: لن نحني رؤوسنا أمام العدو (فيديو)
#اسأل_أكثر #Question_MoreRT STORIES
"تسنيم": إيران سلمت نصا جديدا من 14 بندا لواشنطن عبر وسيط باكستاني
#اسأل_أكثر #Question_MoreRT STORIES
المجلس الأعلى للأمن القومي في إيران يعلن تشكيل هيئة جديدة لإدارة مضيق هرمز
#اسأل_أكثر #Question_MoreRT STORIES
"كنز في قاع هرمز".. "فارس": من حق طهران أن تعلن سيادتها على كابلات الإنترنت في المضيق
#اسأل_أكثر #Question_MoreRT STORIES
رضائي لـ RT: صدرت أوامر في حال الهجوم برا على إيران ألا يترك جندي أمريكي على قيد الحياة
#اسأل_أكثر #Question_MoreRT STORIES
هيئة البث الإسرائيلية: واشنطن وتل أبيب ترفعان حالة التأهب لاستئناف حرب إيران بانتظار "أخضر" ترامب
#اسأل_أكثر #Question_MoreRT STORIES
"25 مليار دولار وتخصيب يورانيوم".. "WSJ" تنشر تفاصيل "نسخة بديلة" من الاقتراح الأمريكي لإيران
#اسأل_أكثر #Question_MoreRT STORIES
مسؤول عسكري مطلع: العدو يحاول التغطية على فشله بافتعال عمليات ضد دول المنطقة ونسبها لإيران
#اسأل_أكثر #Question_MoreRT STORIES
"فايننشال تايمز": شركات الشحن تنقل الوقود بالشاحنات على خلفية أزمة مضيق هرمز
#اسأل_أكثر #Question_More
هدنة وحصار المضيق
-
إسرائيل تواصل غاراتها على لبنان
RT STORIES
الصحة اللبنانية: 3020 قتيلا و9273 جريحا حصيلة العدوان الإسرائيلي منذ 2 مارس
#اسأل_أكثر #Question_MoreRT STORIES
لحظة بلحظة.. قصف إسرائيلي متواصل على جنوب لبنان والبقاع رغم سريان الهدنة
#اسأل_أكثر #Question_MoreRT STORIES
مقتل قيادي بحركة الجهاد الإسلامي وابنته جراء استهداف شقته جنوبي بعلبك بصاروخ إسرائيلي (فيديو)
#اسأل_أكثر #Question_MoreRT STORIES
إصابة قائد سرية في وحدة "ماجلان" الإسرائيلية بجروح خطيرة إثر انفجار عبوة في جنوب لبنان
#اسأل_أكثر #Question_More
إسرائيل تواصل غاراتها على لبنان
-
زيارة بوتين إلى الصين
RT STORIES
أوشاكوف: رئيسا روسيا والصين سيتبنيان إعلانا حول إقامة عالم متعدد الأقطاب
#اسأل_أكثر #Question_MoreRT STORIES
أوشاكوف يعلق على "المواعيد المتقاربة" لزيارتي بوتين وترامب إلى الصين
#اسأل_أكثر #Question_MoreRT STORIES
"الغارديان": الغرب قلق إزاء تعزيز العلاقات بين روسيا والصين
#اسأل_أكثر #Question_MoreRT STORIES
موسكو وبكين تحتفلان بثلاثين عاما من الشراكة خلال قمة بوتين - شي
#اسأل_أكثر #Question_MoreRT STORIES
استخباراتي أمريكي: الصين ترحب دائما ببوتين على خلاف ترامب
#اسأل_أكثر #Question_MoreRT STORIES
التجارة الروسية الصينية تواصل النمو
#اسأل_أكثر #Question_More
زيارة بوتين إلى الصين
-
بيسكوف: لدينا توقعات جدية جدا بشأن زيارة بوتين إلى الصين
RT STORIES
بيسكوف: لدينا توقعات جدية جدا بشأن زيارة بوتين إلى الصين
#اسأل_أكثر #Question_More -
ليخاتشوف: القوات الأوكرانية شنت عشرات الضربات على محطة زابوروجيه النووية خلال اليوم الأخير
RT STORIES
ليخاتشوف: القوات الأوكرانية شنت عشرات الضربات على محطة زابوروجيه النووية خلال اليوم الأخير
#اسأل_أكثر #Question_More
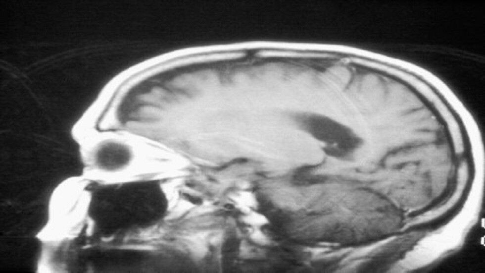
روسيا.. ابتكار طريقة جديدة لتدمير خلايا الورم في الدماغ
يقترح علماء معهد الأحياء والطب الحيوي بجامعة لوباتشيفسكي الروسية في نيجني نوفغورود، طريقة جديدة لتدمير خلايا أورام الدماغ، وتساعد على تحديد جرعة الإشعاع اللازمة.
ووفقا للمكتب الإعلامي للجامعة، "يعمل علماء معهد الأحياء والطب الحيوي على ابتكار عقار يمكنه تدمير خلايا أورام الدماغ، دون أن يؤثر في وظائفه. و يستبعد هذا العقار استخدام العلاج الضوئي المباشر في علاج أورام الدماغ الدبقية، الأكثر انتشارا ".

نتائج واعدة لاختبار أول لقاح مضاد لسرطان الدماغ
ويشير الباحثون، إلى أن نتائج دراسة مزارع الخلايا العصبية، أظهرت أن العلاج الضوئي الديناميكي للأورام الدبقية باستخدام عوامل بورفيرازين الضوئية تدمر الورم و الشبكات العصبية أيضا، ما يؤدي إلى فقدان وظائف الدماغ.
وتقول فيكتوريا توروبانوفا، الباحثة في مختبر معهد علوم الأعصاب بالجامعة، "استخدمنا تراكيز ضوئية مختلفة كافية لتدمير الأورام. ولكن اتضح أن هذه التركيزات تؤدي إلى موت الشبكات العصبية أيضا. لذلك كان علينا كشف هذه المشكلة، ونشر النتائج والاستمرار في البحث عن طرق جديدة لعلاج الأورام الدبقية".
وتشير الباحثة، إلى أنه يمكن استخدام العوامل الضوئية لتدمير الخلايا السرطانية في المختبر، التي ستشكل أساس لقاح لعلاج أورام الدماغ. كما يمكن استخدام البورفيرازين في علاج أنواع أخرى من الأورام التي تختلف في المنشأ والتمثيل الغذائي من خلايا الجهاز العصبي. وبالإضافة إلى ذلك، تساعد المحسسات الضوئية على تدمير الورم، وعلى تحديد الجرعة المطلوبة من الإشعاع.
ووفقا لفيكتوريا توروبانوفا، تستخدم طرق مختلفة في علاج الأورام السرطانية، لغالبيتها آثار جانبية، "لذلك نحن نعمل على الموت المناعي للخلايا السرطانية، الذي يتضمن استخدام قوى الجسم الطبيعية لمكافحة الأورام، واستثناء العلاج الكيميائي والإشعاعي. ومهمتنا التالية هي ابتكار لقاح مضاد للأورام الدبقية واختباره على الحيوانات المخبرية".
المصدر: tass
إقرأ المزيد
علماء روس يبتكرون طريقة لتشخيص أمراض المسالك البولية باستخدام الهاتف الذكي
أفاد المكتب الإعلامي لجامعة بطرسبورغ، أن علماء الجامعة دربوا شبكة عصبية لتحليل معايير التبول استنادا إلى مقاطع فيديو مصورة بالهاتف الذكي.
التعليقات