Stories
-
هدنة وحصار المضيق
RT STORIES
لافروف: موقف روسيا تجاه النزاع حول إيران يتمثل في ضرورة وقف العمليات القتالية
#اسأل_أكثر #Question_MoreRT STORIES
فانس يشكك في رواية البنتاغون حول الحرب مع إيران
#اسأل_أكثر #Question_MoreRT STORIES
ميرتس: القيادة الإيرانية تذل واشنطن والإيرانيون أقوى مما يعتقد البعض.. الأمريكيون بلا خطة واضحة!
#اسأل_أكثر #Question_MoreRT STORIES
نيويورك تايمز: ترامب غير راض عن عرض طهران وإدارته تدرس استئناف التصعيد العسكري
#اسأل_أكثر #Question_MoreRT STORIES
وزير الخارجية الأمريكي: إيران استنفدت نصف قدراتها الصاروخية ولم يتبق لديها قوات بحرية
#اسأل_أكثر #Question_MoreRT STORIES
"وول ستريت جورنال" تكشف عن عرض إيران الجديد المتضمن خطتها للولايات المتحدة
#اسأل_أكثر #Question_MoreRT STORIES
بوتين: روسيا ستفعل كل ما يلزم لمصلحة إيران ودول المنطقة لضمان السلام بالشرق الأوسط
#اسأل_أكثر #Question_MoreRT STORIES
عراقجي: العلاقات بين روسيا وإيران تمثل شراكة استراتيجية وسوف تتعزز
#اسأل_أكثر #Question_MoreRT STORIES
بالفيديو.. عبور 7 سفن مضيق هرمز خلال الـ24 ساعة الماضية
#اسأل_أكثر #Question_MoreRT STORIES
إيران لحظة بلحظة.. استمرار الدبلوماسية وتحركات لاحتواء الموقف وبوتين يستقبل عراقجي
#اسأل_أكثر #Question_MoreRT STORIES
عراقجي من بطرسبورغ: طهران وموسكو تجريان مشاورات مكثفة ومستمرة حول القضايا الإقليمية
#اسأل_أكثر #Question_MoreRT STORIES
ترامب: الحرب مع إيران ستنتهي قريبا جدا وأمل ألا نضطر للتعامل عسكريا مع ما تبقى من النظام الإيراني
#اسأل_أكثر #Question_More
هدنة وحصار المضيق
-
العملية العسكرية الروسية في أوكرانيا
RT STORIES
الدفاع الروسية: إسقاط 30 طائرة مسيرة أوكرانية فوق المناطق الروسية
#اسأل_أكثر #Question_MoreRT STORIES
سلوتسكي: تصريحات ميرتس تشير إلى انهيار "المشروع المناهض لروسيا" بالكامل
#اسأل_أكثر #Question_MoreRT STORIES
القوات المسلحة الأوكرانية تتحدث عن نقص حاد في صواريخ "باتريوت"
#اسأل_أكثر #Question_MoreRT STORIES
منظومة "غراد" تستهدف مواقع تمركز القوات الأوكرانية في مقاطعة زاباروجيه
#اسأل_أكثر #Question_MoreRT STORIES
الدفاع الروسية تنشر مشاهد لقصف مواقع تابعة لقوات كييف براجمة "TOS-1A"
#اسأل_أكثر #Question_MoreRT STORIES
الدفاع الروسية تعلن تحرير بلدتين جديدتين شمال وشرق أوكرانيا
#اسأل_أكثر #Question_MoreRT STORIES
روسيا.. إحباط عملية تخريب لمصفاة نفط في جمهورية كومي
#اسأل_أكثر #Question_MoreRT STORIES
روسيا.. تصفية عميلين خططا لتفجير مصفاة نفطية بتوجيه من استخبارات كييف
#اسأل_أكثر #Question_MoreRT STORIES
موسكو تستدعي السفير الألماني احتجاجا على لقاء نائب ألماني زعيم جماعية إرهابية مطلوبا دوليا
#اسأل_أكثر #Question_More
العملية العسكرية الروسية في أوكرانيا
-
هدنة بين حزب الله وإسرائيل
RT STORIES
"احتمالية عالية لوقوع هجوم": تمديد حالة الطوارئ في الجبهة الداخلية الإسرائيلية
#اسأل_أكثر #Question_MoreRT STORIES
قتلى وجرحى بغارات عنيفة على جنوب لبنان وبعلبك في خروقات إسرائيلية مستمرة للهدنة
#اسأل_أكثر #Question_MoreRT STORIES
قيادي في "حزب الله": سنفعل مجموعات الاستشهاديين لمنع استقرار الجيش الإسرائيلي جنوب لبنان
#اسأل_أكثر #Question_MoreRT STORIES
"إصابة جنود بشكل مباشر وهروب آخرين".. مشاهد من استهداف "حزب الله" لقوات إسرائيلية جنوب لبنان (فيديو)
#اسأل_أكثر #Question_MoreRT STORIES
مسؤولون إسرائيليون: الحكومة اللبنانية لم تتخذ "أي خطوة" ضد حزب الله منذ بدء الهدنة
#اسأل_أكثر #Question_MoreRT STORIES
ساعر: "حزب الله" أطلق باتجاه اسرائيل نحو 10 آلاف قذيفة ومسيرة خلال شهرين
#اسأل_أكثر #Question_MoreRT STORIES
"معاريف": الجيش الإسرائيلي يبدأ سحب قواته حتى "الخط الأصفر" في جنوب لبنان
#اسأل_أكثر #Question_MoreRT STORIES
جنوب لبنان.. الجيش الإسرائيلي يفجر منازل رغم وقف إطلاق النار
#اسأل_أكثر #Question_MoreRT STORIES
الرئيس عون يرد على منتقدي المفاوضات: الخيانة ليست في التفاوض بل في جر لبنان إلى حروب الآخرين
#اسأل_أكثر #Question_MoreRT STORIES
جنوب لبنان يتعرض لموجة جديدة من الغارات والقصف الإسرائيلي
#اسأل_أكثر #Question_MoreRT STORIES
تحد جديد يواجه الجيش الإسرائيلي.. القناة 12 تكشف عن تفوق حزب الله في تشغيل مسيرات "شبحية"
#اسأل_أكثر #Question_More
هدنة بين حزب الله وإسرائيل
-
نبض الملاعب
RT STORIES
ترتيب الدوري المصري بعد الفوز الكاسح لبيراميدز على الأهلي
#اسأل_أكثر #Question_MoreRT STORIES
الروسية ميرا أندرييفا تذرف الدموع بعد فوزها الدرامي على بوندار في بطولة مدريد
#اسأل_أكثر #Question_MoreRT STORIES
أنس سرغات يسجل هدفا نادرا في الدوري المغربي
#اسأل_أكثر #Question_MoreRT STORIES
ريال مريد يكشف طبيعة إصابة مبابي
#اسأل_أكثر #Question_MoreRT STORIES
أقوى 10 مرشحين للفوز بهداف بكأس العالم 2026
#اسأل_أكثر #Question_MoreRT STORIES
بين التجديد والرحيل.. تقارير تحسم الجدل حول مصير ليفاندوفسكي مع برشلونة
#اسأل_أكثر #Question_MoreRT STORIES
شاهد "تحت الماء".. سبيد يقلد احتفال كريستيانو رونالدو (فيديو)
#اسأل_أكثر #Question_MoreRT STORIES
حارس سرقسطة يفقد أعصابه بعد طرده ويتحول إلى "ملاكم"
#اسأل_أكثر #Question_MoreRT STORIES
سلوت يتوقع موعد عودة محمد صلاح
#اسأل_أكثر #Question_MoreRT STORIES
صدمة بعد التتويج.. عقوبات تلاحق نجوم الأهلي السعودي
#اسأل_أكثر #Question_MoreRT STORIES
ضربة موجعة لأتليتكو مدريد قبل لقاء أرسنال
#اسأل_أكثر #Question_MoreRT STORIES
أول طلبات ريتشارد هيوز لتولي مهمة التدريب في الهلال السعودي (فيديو)
#اسأل_أكثر #Question_More
نبض الملاعب
-
فيديوهات
RT STORIES
القوات الأمريكية تدمر قارب مهربي المخدرات في شرق المحيط الهادئ
#اسأل_أكثر #Question_MoreRT STORIES
الضفة الغربية.. قوات الجيش الإسرائيلي تنفذ حملة اعتقالات واسعة في بلدة الرام
#اسأل_أكثر #Question_MoreRT STORIES
مشاهد من محاكمة علنية لعاطف نجيب ابن خالة بشار الأسد في دمشق
#اسأل_أكثر #Question_MoreRT STORIES
شاهد.. مئات الضيوف يحتمون تحت الطاولات أثناء إطلاق النار في "عشاء ترامب"
#اسأل_أكثر #Question_MoreRT STORIES
شاهد رد فعل ترامب وعقيلته لحظة سماعهما صوت إطلاق النار
#اسأل_أكثر #Question_Moreفيديوهات
-
محاولة اغتيال ترامب
RT STORIES
تصريح كارولين ليفيت عن "بعض الطلقات" قبل إطلاق النار في عشاء المراسلين يشعل نظرية "المؤامرة" (فيديو)
#اسأل_أكثر #Question_MoreRT STORIES
الثغرات الأمنية التي سمحت لـ"كول ألين" بالاقتراب من عشاء مراسلي البيت الأبيض وإطلاق النار
#اسأل_أكثر #Question_MoreRT STORIES
أحداث إطلاق النار في عشاء البيت الأبيض.. تفاصيل دقائق الرعب في فندق "هيلتون"
#اسأل_أكثر #Question_MoreRT STORIES
رسائل وأفكار صادمة.. بيان "مريب" من مطلق النار في عشاء البيت الأبيض لعائلته قبل دقائق من الهجوم
#اسأل_أكثر #Question_MoreRT STORIES
ترامب يشرح تفاصيل "الانبطاح" في محاولة اغتياله ويؤكد: منفذ الهجوم كان مسيحيا مؤمنا
#اسأل_أكثر #Question_MoreRT STORIES
"واشنطن بوست": البيت الأبيض لم يؤمن سلامة كاملة في حفل الاستقبال الذي شهد إطلاق النار
#اسأل_أكثر #Question_More
محاولة اغتيال ترامب
-
نتنياهو: هناك تهديدان رئيسيان من حزب الله
RT STORIES
نتنياهو: هناك تهديدان رئيسيان من حزب الله
#اسأل_أكثر #Question_More
الدوار عند النهوض فجأة.. الأسباب ونصائح لتجنب المخاطر
يشعر كثيرون بالدوار عند النهوض المفاجئ من السرير أو الكرسي، وكأن الأرض تنهار من تحت أقدامهم وتصبح الرؤية ضبابية.
وقد يصاحب هذا أحيانا طنين في الأذنين أو ضعف عام. غالبا ما يزول هذا الشعور خلال ثوان معدودة، لكن تكراره قد يشير إلى مشكلات في ضغط الدم أو الأوعية الدموية.

مشكلات صحية تشير إليها الدوخة
لماذا يحدث الدوار عند النهوض المفاجئ؟
عند النهوض من الاستلقاء أو الجلوس، تسحب الجاذبية الدم مؤقتا إلى الجزء السفلي من الجسم، في أوردة الساقين والبطن. ولمنع نقص الأكسجين في الدماغ، يجب أن تستجيب الأوعية الدموية والقلب على الفور: تنقبض الأوعية، ويتسارع النبض قليلا لدفع الدم إلى الأعلى.
يتحكم في هذه العملية الجهاز العصبي اللاإرادي، وهو جزء من الشبكة العصبية يعمل تلقائيا دون تدخل واع. وعند تباطؤ رد فعله، يتلقى الدماغ كمية أقل من الأكسجين لجزء من الثانية، ما يؤدي إلى الدوار، عدم وضوح الرؤية، أو الضعف.
السبب الرئيسي هو انخفاض ضغط الدم الانتصابي، وهو انخفاض قصير الأمد في ضغط الدم عند تغيير وضعية الجسم. لدى الشخص السليم، يعود الضغط سريعا إلى طبيعته، بينما تفشل هذه الآلية أحيانا في الحالات التالية:
-
بعد الاستلقاء أو النوم لفترات طويلة، عندما تكون الأوعية الدموية مسترخية.
-
مع الجفاف أو فقدان الدم.
-
عند تناول مدرات البول، المهدئات، أو أدوية خفض ضغط الدم.
-
بسبب الإرهاق، النظام الغذائي السيء، أو انخفاض الحديد.
لا يرتبط هذا النوع من الدوار بمشكلات في الأذن الداخلية أو التنسيق الحركي، بل يحدث بسبب نقص مؤقت في تدفق الدم إلى الدماغ. كما يختلف الشعور بالدوار من شخص لآخر حسب سرعة استجابة منظومة ضغط الدم.
في بعض الحالات، يرتبط الدوار باضطراب في التنظيم اللاإرادي أو انخفاض مستوى الهيموغلوبين، ما يمنع الدماغ من تلقي الأكسجين الكافي حتى مع ضغط دم طبيعي.

الأسباب الرئيسية الشائعة للدوخة
متى يكون الدوار خطيرا؟
يعد الدوار الخفيف عند الوقوف المفاجئ طبيعيا، لكن يجب استشارة الطبيب إذا:
-
كان الدوار متكررا.
-
مصحوبا بإغماء أو سقوط.
-
تزامن مع طنين في الأذن، غثيان، أو شعور قوي بالدوار.
-
حدث تسارع أو انخفاض حاد في النبض.
قد تشير هذه الأعراض إلى فقر الدم، عدم انتظام ضربات القلب، أمراض الغدة الكظرية، أو مشكلات عصبية.
طرق بسيطة لتقليل خطر الدوخة
-
النهوض تدريجيا: الجلوس على السرير والتنفس بعمق قبل الوقوف.
-
الإكثار من شرب الماء: الجفاف يقلل من حجم الدم المتداول.
-
عدم تفويت وجبات الطعام: انخفاض السكر يزيد من الضعف.
-
مراقبة ضغط الدم: إذا كان أقل من 100/60 مم زئبق، يجب استشارة الطبيب.
-
تقوية الأوعية الدموية: بالمشي، النشاط البدني المعتدل، والاستحمام المتباين.
المصدر: health.mail.ru
إقرأ المزيد
الأسباب الأكثر شيوعا للدوار
أفاد الدكتور ألكسندر أتياشيف، أخصائي طب الأعصاب والتأهيل أن الدوار ليس تشخيصا بحد ذاته، بل هو عرض، وقد تكون أسبابه مختلفة تماما، وليس دائما مثيرا للقلق.
خطر خفي لنقص الحديد في الجسم
كشفت دراسة لعلماء من جامعة كولومبيا الأمريكية عن خطر خفي يسببه نقص عنصر الحديد في الجسم.
النوم العميق يحمل مفتاح علاج مشكلة تؤثر على 15% من سكان العالم
كشفت أبحاث رائدة في جامعة أكسفورد عن رابط مدهش بين اضطرابات النوم وطنين الأذن المزمن، في اكتشاف علمي قد يغير حياة الملايين حول العالم.
عادة بسيطة تساعد على خفض ضغط الدم
كشفت دراسة أجراها باحثون في معهد أوريغون الأمريكي للعلوم المهنية والصحة أن مواظبة مرضى ارتفاع ضغط الدم على عادة يومية بسيطة يمكن أن تساعدهم في خفض مستويات ضغط الدم بشكل ملحوظ.
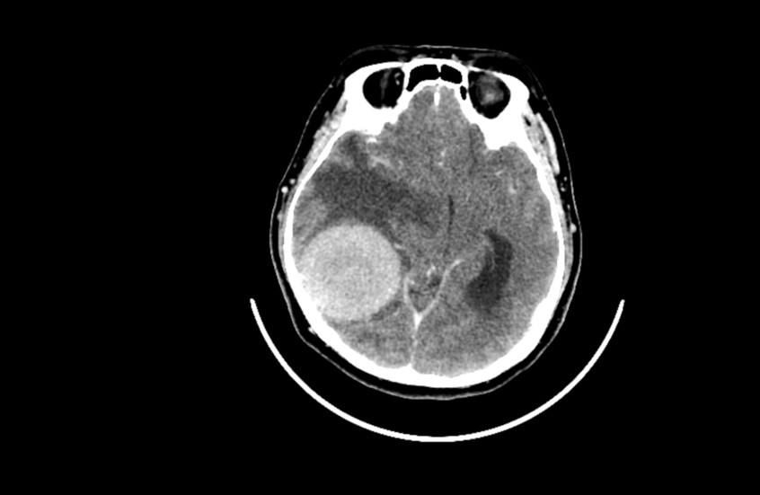
دراسة صادمة.. القلق والدوار يرتبطان بأورام الدماغ!
توصلت دراسة حديثة إلى وجود علاقة بين القلق والدوخة من جهة، والأورام الدماغية الحميدة من جهة أخرى.
تفسير سبب الشعور بالدوخة عند ارتداء النظارات
يشير البروفيسور فيتشسلاف كورينكوف أخصائي طب وجراحة العيون إلى أن البعض يشعرون بالدوخة والغثيان بعد ارتداء النظارات التصحيحية للمرة الأولى.
طبيبة روسية: أسباب غير واضحة للدوخة المفاجئة
كشفت الدكتورة أولغا كوزلوفا، أخصائية أمراض القلب، خمسة أسباب غير واضحة للدوخة المفاجئة.
التعليقات