Stories
-
هدنة بين حزب الله وإسرائيل
RT STORIES
ماكرون يعلن وفاة جندي فرنسي ثان من قوات اليونيفيل في جنوب لبنان
#اسأل_أكثر #Question_MoreRT STORIES
حزب الله: عون رئيس البلاد والتواصل معه مقطوع حاليا
#اسأل_أكثر #Question_MoreRT STORIES
وزير الإعلام اللبناني يدين استهداف الصحفيين: "جريمة موصوفة وانتهاك صارخ للقانون الدولي"
#اسأل_أكثر #Question_MoreRT STORIES
الجيش الإسرائيلي: وقف إطلاق النار مع حزب الله هش وقد ينهار في أي لحظة
#اسأل_أكثر #Question_MoreRT STORIES
الخارجية الأمريكية تحث رعاياها على مغادرة لبنان
#اسأل_أكثر #Question_MoreRT STORIES
المبعوث الأمريكي لسوريا توم باراك: لا يمكن القضاء على حزب الله
#اسأل_أكثر #Question_MoreRT STORIES
"حزب الله" يعلن استهداف آلية "هامر" تابعة للجيش الإسرائيلي في بلدة القنطرة
#اسأل_أكثر #Question_MoreRT STORIES
مقتل الصحفية اللبنانية آمال خليل في قصف إسرائيلي استهدف بلدة الطيري.. نواف سلام: جريمة حرب موصوفة
#اسأل_أكثر #Question_MoreRT STORIES
الجيش الإسرائيلي: قصفنا إرهابيين انتهكوا وقف إطلاق النار وعبروا الخط الأصفر في لبنان
#اسأل_أكثر #Question_MoreRT STORIES
حزب الله يقصف قوة إسرائيلية في جنوب لبنان ويقدم طلبا لإيران ووزراء الكابنيت: الوضع لا يحتمل
#اسأل_أكثر #Question_More
هدنة بين حزب الله وإسرائيل
-
هدنة وحصار المضيق
RT STORIES
"نيويورك تايمز" عن مسؤول باكستاني: جولة ثانية من المفاوضات قد تعقد قريبا
#اسأل_أكثر #Question_MoreRT STORIES
الولايات المتحدة تؤكد أنها لا ترى دعما كافيا من أوروبا بشأن إيران
#اسأل_أكثر #Question_MoreRT STORIES
"فوكس نيوز": ترامب لم يحدد مواعيد لتمديد الهدنة مع إيران
#اسأل_أكثر #Question_MoreRT STORIES
نائب وزير الخارجية الروسي: الوضع في مضيق هرمز والحصار الأمريكي يؤثران على روسيا
#اسأل_أكثر #Question_MoreRT STORIES
تقارير: سفن إيرانية تتحدى الحصار الأمريكي وتعبر في مضيق هرمز
#اسأل_أكثر #Question_MoreRT STORIES
الحرس الثوري الإيراني يبث مشاهد من عملية السيطرة على سفينة حاويات في مضيق هرمز (فيديو)
#اسأل_أكثر #Question_MoreRT STORIES
دعوة أمريكية لرفع العقوبات عن إيران وعدم مهاجمتها لتفادي ردة فعلها المدمر
#اسأل_أكثر #Question_MoreRT STORIES
المبعوث الأمريكي السابق إلى أوكرانيا يدعو لتدمير إيران: لا تفاوض بعد الآن بل إنهاء المهمة
#اسأل_أكثر #Question_MoreRT STORIES
"سيندمون".. قائد القوات البرية الإيرانية يتوعد برد حاسم على أي اعتداء
#اسأل_أكثر #Question_MoreRT STORIES
قاليباف: وقف إطلاق النار لا معنى له مع استمرار الحصار البحري
#اسأل_أكثر #Question_MoreRT STORIES
الرئيس الإيراني: نرحب بالحوار لكن نقض الوعود والحصار والتهديدات تقف حجر عثرة أمام المفاوضات
#اسأل_أكثر #Question_MoreRT STORIES
البيت الأبيض: ترامب يحتفظ بالعديد من الخيارات لمواجهة إيران
#اسأل_أكثر #Question_More
هدنة وحصار المضيق
-
العملية العسكرية الروسية في أوكرانيا
RT STORIES
سياسي فنلندي: العقوبات المفروضة على روسيا والقرض بقيمة 90 مليار يورو لن يفيدا أوكرانيا
#اسأل_أكثر #Question_MoreRT STORIES
الاتحاد الأوروبي يمنح أوكرانيا حزمة تمويل جديدة بأكثر من 600 مليون يورو
#اسأل_أكثر #Question_MoreRT STORIES
لافروف حول "ورطة" ألمانيا: قبعة اللص تحترق
#اسأل_أكثر #Question_MoreRT STORIES
فيتسو: الثقة بين سلوفاكيا وأوكرانيا تزعزعت
#اسأل_أكثر #Question_MoreRT STORIES
سلوتسكي يصف عقوبات الاتحاد الأوروبي الدورية بعديمة الجدوى تماما
#اسأل_أكثر #Question_MoreRT STORIES
أردوغان: تركيا تبذل جهودا لاستئناف المفاوضات بين روسيا وأوكرانيا
#اسأل_أكثر #Question_MoreRT STORIES
بيسكوف: لقاء بوتين بزيلينسكي ممكن فقط لإنهاء الاتفاقات وموسكو لا ترى إرادة سياسية لدى كييف
#اسأل_أكثر #Question_More
العملية العسكرية الروسية في أوكرانيا
-
نبض الملاعب
RT STORIES
مجموعة مصر.. مبعوث ترامب يسعى لإشراك إيطاليا محل إيران في مونديال 2026
#اسأل_أكثر #Question_MoreRT STORIES
أول تعليق من رونالدو بعد التأهل لنهائي دوري أبطال آسيا 2 (صور)
#اسأل_أكثر #Question_MoreRT STORIES
فعلها "الرجل الآلي".. مانشستر سيتي ينتزع صدارة "البريميرليغ" من آرسنال (فيديو)
#اسأل_أكثر #Question_MoreRT STORIES
شاهد.. خطأ كارثي لحارس مرمى في الدوري الأمريكي
#اسأل_أكثر #Question_MoreRT STORIES
غرامات وإيقاف.. معاقبة فريقي الشباب السعودي وزاخو بسبب مشاجرة بين اللاعبين (فيديو)
#اسأل_أكثر #Question_MoreRT STORIES
شاهد.. صلاح يودع حكم مباراة ليفربول وإيفرتون بكلمات مؤثرة.. فماذا قال؟
#اسأل_أكثر #Question_MoreRT STORIES
النصر يكتسح الأهلي القطري ويبلغ نهائي دوري أبطال آسيا "2".. فيديو
#اسأل_أكثر #Question_MoreRT STORIES
بوتين يمنح الوسام الحكومي لمقاتل وآخر لملاكم
#اسأل_أكثر #Question_MoreRT STORIES
سقوط مرعب للاعب في الدور الأمريكي لكرة السلة (NBA).. فيديو
#اسأل_أكثر #Question_MoreRT STORIES
والد زيزو يكشف حقيقة رحيل نجله عن الأهلي المصري ويوجه رسالة تهديد للزمالك
#اسأل_أكثر #Question_MoreRT STORIES
فضيحة تهز الدوري الإيطالي.. تحقيقات تكشف شبكة "سهرات مشبوهة" في ميلانو
#اسأل_أكثر #Question_More
نبض الملاعب
-
فيديوهات
RT STORIES
رئيس دولة الإمارات يستقبل الشرع في أبوظبي
#اسأل_أكثر #Question_MoreRT STORIES
لحظة تحطم طائرة خفيفة بعد اصطدامها بخطوط كهرباء في كاليفورنيا
#اسأل_أكثر #Question_MoreRT STORIES
قوات إسرائيلية تقتحم جنازة فلسطينيين في رام الله قتلا إثر هجوم مستوطنين على مدرسة
#اسأل_أكثر #Question_MoreRT STORIES
مشاهد من استقبال أمير قطر للرئيس السوري في الدوحة
#اسأل_أكثر #Question_MoreRT STORIES
بسبب فرامل معطلة.. اصطدام طائرتين في مطار ميانمار
#اسأل_أكثر #Question_MoreRT STORIES
الرئيس الأرجنتيني يخطف الأنظار بالرقص والغناء في احتفالات "عيد الاستقلال" الإسرائيلي
#اسأل_أكثر #Question_MoreRT STORIES
محمد بن زايد آل نهيان يلتقي الرئيس التنفيذي لشركة "بلاك روك" في أبوظبي
#اسأل_أكثر #Question_MoreRT STORIES
شرطة نيويورك تنقذ دبا عالقا على شجرة خلال عملية دامت عدة ساعات
#اسأل_أكثر #Question_MoreRT STORIES
حادث مروع.. سيارة تدهس أحد المشاة وتسقط في قناة مائية بسان بطرسبورغ
#اسأل_أكثر #Question_MoreRT STORIES
قوات إيرانية تستعرض صاروخ "خرمشهر" في طهران
#اسأل_أكثر #Question_More
فيديوهات
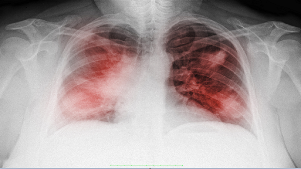
التهاب الرئة.. الأسباب وعوامل الخطر وطرق التشخيص
يشير الأطباء إلى أن التهاب الرئة هو التهاب في أنسجة الرئة يحدث غالبا كأحد مضاعفات العلاج المناعي، ويصاب به كثير من مرضى السرطان.

روسيا.. اكتشاف فيروس يقضي على مسببات الالتهاب الرئوي
ووفقا للأطباء، يحدث التهاب الرئة في 3-10٪ من الحالات كمضاعفات للعلاج المناعي، وتصل نسبة الوفيات إلى 35٪. ويعد هذا الالتهاب أثرا جانبيا لاستخدام مثبطات نقاط الضبط المناعية، كما يمكن أن تسببه عوامل مختلفة، بما في ذلك تأثير منظومة المناعة على خلايا الورم.
ويهدف العلاج المناعي باستخدام مثبطات PD-1 وPD-L1 إلى تثبيط الآليات التي تستخدمها خلايا الورم للدفاع عن نفسها ضد الجهاز المناعي. ومع ذلك، قد تؤدي هذه العملية إلى تفاعلات مناعية ذاتية، بما في ذلك التهاب الرئة، الذي يصيب الرئتين ويتطلب تدخلا طبيا في كثير من الحالات.
وتشمل عوامل الخطر الرئيسية للإصابة بالتهاب الرئة أمراض الرئة المزمنة، مثل أمراض الرئة الخلالية، والتدخين، واستخدام العلاج المناعي مع علاجات أخرى. كما أن بعض أنواع السرطان، وخاصة سرطان الخلايا الكلوية، ترتبط بزيادة احتمالية الإصابة بالتهاب الرئة مقارنة بأنواع الأورام الأخرى.
ويتم تشخيص هذا المرض عبر التصوير المقطعي المحوسب للكشف عن وجود تصلب في أنسجة الرئة، بالإضافة إلى تحليل غسل القصبات الهوائية الذي يساعد على استبعاد الأمراض المعدية. وفي حال تأكدت الإصابة بالتهاب الرئة، يصبح من الضروري تعديل العلاج لمنع تفاقم حالة المريض.
المصدر: صحيفة "إزفيستيا"
إقرأ المزيد
دراسة صادمة: مواقد الحطب العصرية مضرة للرئة بقدر التدخين
كشف باحثون أن استخدام مواقد حرق الحطب في المنازل قد يسبب ضررا للرئتين يشبه تأثير دخان السجائر، حتى بين الأصحاء والأغنياء وأقل المدخنين.
الغناء قد يحسّن نوعية حياة مرضى الرئة المزمنة
أظهرت دراسة حديثة أن الغناء قد يساهم في تحسين نوعية حياة مرضى أمراض الرئة المزمنة.
الرغبات الغذائية الغريبة… هل يمكن أن تكون علامة مبكرة على مرض خطير؟
ترتبط الرغبة الشديدة في تناول أطعمة محددة مثل الشوكولاتة والبيتزا وحتى الليمون، عادة بفترة الحمل. لكن الأطباء كشفوا أن ظاهرة مشابهة قد تكون إنذارا مبكرا للإصابة ببعض أنواع السرطان.
الصين.. أطباء "يكشفون" سبب تفشي التهاب "الرئة البيضاء"!
يقول أطباء في الصين إن تفشي الالتهاب الرئوي "الرئة البيضاء" ربما كان مدفوعا جزئيا بـ "الجراثيم الخارقة"، أو العدوى المقاومة للعديد من المضادات الحيوية.
العلماء يكتشفون فيروسا هجينا قادرا على التهرب من جهاز المناعة وإصابة خلايا الرئة
يمكن أن يندمج اثنان من فيروسات الجهاز التنفسي الشائعة لتشكيل فيروس هجين قادر على التهرب من جهاز المناعة البشري، وإصابة خلايا الرئة.
أمل حقيقي في تقديم العلاج الأول على الإطلاق لمرضى الرئة مع مشاكل في التنفس!
يجري تقديم أول علاج على الإطلاق للأشخاص الذين يعانون من مرض رئوي يسبب مشاكل تنفسية حادة وإعاقة، في تجربة جديدة.
"الزفير" يمكن أن يكشف عن أمراض الرئة
باستخدام جزيئات النانو المتخصصة، طور مهندسو معهد ماساتشوستس للتكنولوجيا طريقة لرصد الالتهاب الرئوي أو أمراض الرئة الأخرى عن طريق تحليل التنفس الذي يفرزه المريض.
التعليقات