Stories
-
نبض الملاعب
RT STORIES
مفاجأة.. غوارديولا يتخذ قرارا حاسما بشأن مستقبله مع مانشستر سيتي
#اسأل_أكثر #Question_MoreRT STORIES
"كاف" يعلن تصنيف المنتخبات قبل قرعة تصفيات كأس أمم إفريقيا
#اسأل_أكثر #Question_MoreRT STORIES
إعلامي بريطاني يشن هجوما كاسحا على محمد صلاح بعد بيانه الناري (صورة)
#اسأل_أكثر #Question_MoreRT STORIES
"وثيقة تثير الجدل".. ما حقيقة إعادة كأس إفريقيا لمنتخب السنغال؟ (صورة)
#اسأل_أكثر #Question_MoreRT STORIES
قبل نهائي دوري الأبطال.. ما موقف عثمان ديمبلي من المشاركة ضد أرسنال؟
#اسأل_أكثر #Question_MoreRT STORIES
نجم برشلونة يربك حسابات منتخب إسبانيا قبل كأس العالم 2026
#اسأل_أكثر #Question_MoreRT STORIES
رسميا.. ريال مدريد يعلن رحيل قائده بنهاية الموسم (فيديو)
#اسأل_أكثر #Question_MoreRT STORIES
"وداع مؤثر في أنفليد".. ليفربول يعلن موعد التكريم الخاص لمحمد صلاح وروبرتسون
#اسأل_أكثر #Question_MoreRT STORIES
رسميا.. برشلونة يجدد عقد هانز فليك
#اسأل_أكثر #Question_MoreRT STORIES
غريزمان يعتذر باكيا لجماهير أتلتيكو: الرحيل إلى برشلونة كان خطأ عمري
#اسأل_أكثر #Question_MoreRT STORIES
إيران تتلقى ضمانات دولية وتؤكد حضورها في المونديال
#اسأل_أكثر #Question_MoreRT STORIES
تصريحات نارية من روني ضد محمد صلاح
#اسأل_أكثر #Question_MoreRT STORIES
أغرب احتفال بلقب في تاريخ باريس سان جيرمان
#اسأل_أكثر #Question_MoreRT STORIES
الجمباز الدولي ينهي حقبة الحياد للرياضيين الروس
#اسأل_أكثر #Question_MoreRT STORIES
مفاجأة في الترشيحات.. من يخطف جائزة أفضل لاعب في مونديال 2026؟
#اسأل_أكثر #Question_More
نبض الملاعب
-
العملية العسكرية الروسية في أوكرانيا
RT STORIES
الرئيس الصربي: روسيا لم تستخدم إلا جزءا من ترسانتها خلال عمليتها العسكرية الخاصة في أوكرانيا
#اسأل_أكثر #Question_MoreRT STORIES
تصريح غريب من ميرتس حول المفاوضات مع روسيا
#اسأل_أكثر #Question_MoreRT STORIES
محطة زابوروجيه النووية تؤكد عدم وجود أضرار جوهرية بعد الهجوم الأوكراني
#اسأل_أكثر #Question_MoreRT STORIES
باسيتشنيك: مقتل فتاة جراء قصف مسيرة جوية أوكرانية لحافلة مدنية في لوغانسك
#اسأل_أكثر #Question_MoreRT STORIES
وزير الخارجية التركي: الصراع في أوكرانيا يتسبب في أضرار جسيمة لأوروبا
#اسأل_أكثر #Question_MoreRT STORIES
ليبيديف: قصف قوي قرب أوديسا على تجمع لمدربين فرنسيين متورطين في الهجمات على روسيا
#اسأل_أكثر #Question_MoreRT STORIES
"لا ترتكبوا هذا الخطأ الجسيم معه".. ميركل تقدم نصيحة للسياسيين الأوروبيين تخص بوتين
#اسأل_أكثر #Question_MoreRT STORIES
مرتزق كولومبي يدعو مواطني بلاده إلى عدم القتال في صفوف القوات الأوكرانية
#اسأل_أكثر #Question_MoreRT STORIES
الدفاع الأوكرانية تشتري دفعة تجريبية من قنابل جوية موجهة محلية الصنع
#اسأل_أكثر #Question_MoreRT STORIES
الدفاع الروسية: هجوم مكثف على صناعات ومطارات عسكرية في أوكرانيا ومواقع بنية تحتية مرتبطة بجيشها
#اسأل_أكثر #Question_MoreRT STORIES
روسيا تنفي ادعاءات كييف بالتخطيط لهجمات من بيلاروس وتصفها بـ"التحريض على التصعيد"
#اسأل_أكثر #Question_MoreRT STORIES
أوكرانيا: هجوم روسي كبير بالصواريخ والمسيرات الليلة الماضية
#اسأل_أكثر #Question_MoreRT STORIES
مصدر أمني: فيروس "هانتا" ينتشر في صفوف القوات الأوكرانية على جبهة مقاطعة سومي
#اسأل_أكثر #Question_MoreRT STORIES
بوشيلين يعلن عن تقدم القوات الروسية على ثلاث جبهات في دونيتسك
#اسأل_أكثر #Question_MoreRT STORIES
المدفعية الأوكرانية تقصف محطة زابوروجيه الكهروذرية
#اسأل_أكثر #Question_More
العملية العسكرية الروسية في أوكرانيا
-
فيديوهات
RT STORIES
لحظة إطلاق نار من سيارة أسفر عن مقتل 4 أشخاص جنوبي تركيا
#اسأل_أكثر #Question_MoreRT STORIES
لحظة هبوط اضطراي لطائرة مائية وسط أحد الشوارع الأمريكية
#اسأل_أكثر #Question_MoreRT STORIES
الآلاف يتظاهرون في صنعاء في مسيرة مليونية نصرة للقرآن والأقصى وتضامنا مع لبنان
#اسأل_أكثر #Question_MoreRT STORIES
شاهد.. أرنب بري يسقط سائق سكوتر كهربائي أثناء قفزه المفاجئ
#اسأل_أكثر #Question_MoreRT STORIES
الرئيس الإسرائيلي يتسلم أوراق اعتماد سفير صومالي لاند
#اسأل_أكثر #Question_MoreRT STORIES
المنتخب الإيراني لكرة القدم يصل تركيا استعدادا لكأس العالم
#اسأل_أكثر #Question_MoreRT STORIES
المكسيك تدمر 5 مصانع سرية للمخدرات في حملة مكافحة عصابات المخدرات
#اسأل_أكثر #Question_More
فيديوهات
-
هدنة وحصار المضيق
RT STORIES
ترامب يشن هجوما جديدا: حتى لو استسلمت إيران بالكامل سيحتفل الإعلام "الفاسد" بانتصارها
#اسأل_أكثر #Question_MoreRT STORIES
إيران تكشف لأول مرة تفاصيل إصابة مجتبى خامنئي في اليوم الأول من "حرب رمضان"
#اسأل_أكثر #Question_MoreRT STORIES
طهران: الولايات المتحدة أبدت مرونة بشأن البرنامج النووي
#اسأل_أكثر #Question_MoreRT STORIES
الرئيس الإيراني: لن نحني رؤوسنا أمام العدو (فيديو)
#اسأل_أكثر #Question_MoreRT STORIES
"تسنيم": إيران سلمت نصا جديدا من 14 بندا لواشنطن عبر وسيط باكستاني
#اسأل_أكثر #Question_MoreRT STORIES
المجلس الأعلى للأمن القومي في إيران يعلن تشكيل هيئة جديدة لإدارة مضيق هرمز
#اسأل_أكثر #Question_MoreRT STORIES
"كنز في قاع هرمز".. "فارس": من حق طهران أن تعلن سيادتها على كابلات الإنترنت في المضيق
#اسأل_أكثر #Question_MoreRT STORIES
رضائي لـ RT: صدرت أوامر في حال الهجوم برا على إيران ألا يترك جندي أمريكي على قيد الحياة
#اسأل_أكثر #Question_MoreRT STORIES
هيئة البث الإسرائيلية: واشنطن وتل أبيب ترفعان حالة التأهب لاستئناف حرب إيران بانتظار "أخضر" ترامب
#اسأل_أكثر #Question_MoreRT STORIES
"25 مليار دولار وتخصيب يورانيوم".. "WSJ" تنشر تفاصيل "نسخة بديلة" من الاقتراح الأمريكي لإيران
#اسأل_أكثر #Question_MoreRT STORIES
مسؤول عسكري مطلع: العدو يحاول التغطية على فشله بافتعال عمليات ضد دول المنطقة ونسبها لإيران
#اسأل_أكثر #Question_MoreRT STORIES
"فايننشال تايمز": شركات الشحن تنقل الوقود بالشاحنات على خلفية أزمة مضيق هرمز
#اسأل_أكثر #Question_More
هدنة وحصار المضيق
-
إسرائيل تواصل غاراتها على لبنان
RT STORIES
الصحة اللبنانية: 3020 قتيلا و9273 جريحا حصيلة العدوان الإسرائيلي منذ 2 مارس
#اسأل_أكثر #Question_MoreRT STORIES
لحظة بلحظة.. قصف إسرائيلي متواصل على جنوب لبنان والبقاع رغم سريان الهدنة
#اسأل_أكثر #Question_MoreRT STORIES
مقتل قيادي بحركة الجهاد الإسلامي وابنته جراء استهداف شقته جنوبي بعلبك بصاروخ إسرائيلي (فيديو)
#اسأل_أكثر #Question_MoreRT STORIES
إصابة قائد سرية في وحدة "ماجلان" الإسرائيلية بجروح خطيرة إثر انفجار عبوة في جنوب لبنان
#اسأل_أكثر #Question_More
إسرائيل تواصل غاراتها على لبنان
-
زيارة بوتين إلى الصين
RT STORIES
أوشاكوف: رئيسا روسيا والصين سيتبنيان إعلانا حول إقامة عالم متعدد الأقطاب
#اسأل_أكثر #Question_MoreRT STORIES
أوشاكوف يعلق على "المواعيد المتقاربة" لزيارتي بوتين وترامب إلى الصين
#اسأل_أكثر #Question_MoreRT STORIES
"الغارديان": الغرب قلق إزاء تعزيز العلاقات بين روسيا والصين
#اسأل_أكثر #Question_MoreRT STORIES
موسكو وبكين تحتفلان بثلاثين عاما من الشراكة خلال قمة بوتين - شي
#اسأل_أكثر #Question_MoreRT STORIES
استخباراتي أمريكي: الصين ترحب دائما ببوتين على خلاف ترامب
#اسأل_أكثر #Question_MoreRT STORIES
التجارة الروسية الصينية تواصل النمو
#اسأل_أكثر #Question_More
زيارة بوتين إلى الصين
-
بيسكوف: لدينا توقعات جدية جدا بشأن زيارة بوتين إلى الصين
RT STORIES
بيسكوف: لدينا توقعات جدية جدا بشأن زيارة بوتين إلى الصين
#اسأل_أكثر #Question_More -
ليخاتشوف: القوات الأوكرانية شنت عشرات الضربات على محطة زابوروجيه النووية خلال اليوم الأخير
RT STORIES
ليخاتشوف: القوات الأوكرانية شنت عشرات الضربات على محطة زابوروجيه النووية خلال اليوم الأخير
#اسأل_أكثر #Question_More
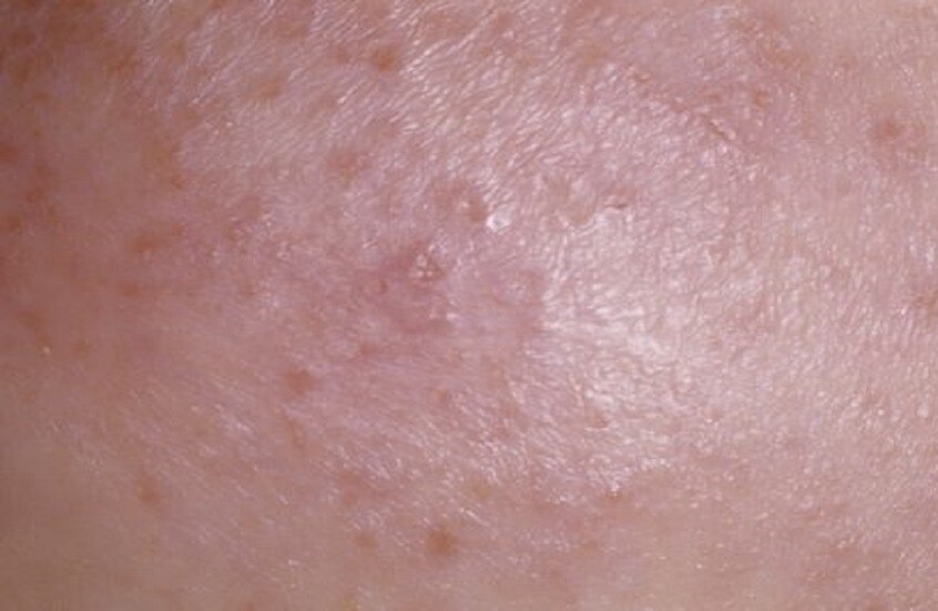
نصائح لمن يعاني من حساسية الشمس
قدمت الدكتورة سفيتلانا شارشكوفا أخصائية أمراض الحساسية والمناعة بعض النصائح للأشخاص الذين يعانون من حساسية الشمس.

حساسية الشمس.. وهم أم حقيقة؟
وفقا للطبيبة، حساسية الشمس (جلاد ضوئي-Photodermatosis) هو مرض جلدي يتميز بفرط حساسية الجلد للأشعة فوق البنفسجية.
وتشير الدكتورة إلى أن أشعة الشمس لا تسبب الحساسية، ولكن التراكم المفرط للمحسسات الضوئية تحت الجلد - وهي مواد تتشكل تحت تأثير الشمس، تزيد من حساسية الجلد لأشعة الشمس.
وتقول: "تظهر أعراض حساسية الشمس خلال دقائق إلى ساعات أو حتى أيام، عادة في المناطق المكشوفة من الجلد التي تعرضت لأشعة الشمس، على شكل احمرار وتورم وطفح جلدي بأنواعه المختلفة على شكل بقع وبثور وفقاعات وتقشر. ويشعر الشخص بالحكة والحرقان والانزعاج".
ووفقا لها، تعتبر حساسية الشمس ظاهرة مؤقتة، ولكن في الحالات الشديدة بالإضافة إلى الأعراض المذكورة أعلاه قد تسبب سوء الحالة الصحية وصداع وارتفاع درجة حرارة الجسم.

أعراض غير اعتيادية للحساسية
وتقول: "لا يوجد علاج عام. لذلك عندما تظهر العلامات الأولى، يجب على الشخص الاحتماء بالظل أو البقاء في المنزل. ولكن عندما تكون الأعراض شديدة يجب تناول مضادات الهستامين واستخدام مراهم وكريمات خارجيا".
وتنصح الأشخاص الذين يعانون من حساسية الشمس، بتقليل فترة تعرضهم لأشعة الشمس في بداية الموسم ومن ثم زيادتها تدريجيا، لكي يعتاد الجسم تدريجيا على تأثير الأشعة فوق البنفسجية، وهذا يخفض خطر حدوث رد فعل تحسسي. كما تنصح بعدم التعرض للشمس من الساعة 11 صباحا إلى الساعة الخامسة مساء، لأن الأشعة فوق البنفسجية تكون في ذروتها.
المصدر: صحيفة "إزفيستيا"
إقرأ المزيد
عادة بسيطة تقلل أحد أعراض الحساسية الموسمية
كشف باحثون يابانيون في دراسة حديثة أن اتباع عادة يومية بسيطة قد يساعد في الحد من تهيج العينين والاحمرار الناتج عن الحساسية الموسمية.
كازاخستان.. تطوير علاج جديد لالتهاب الأنف التحسسي
ذكرت مجلة Frontiers in Immunology أن علماء من كازاخستان تمكنوا من تطوير علاج جديد لحمى القش أو ما يعرف بالتهاب الأنف التحسسي.
التهاب الجلد الضوئي.. الأسباب وطرق الوقاية
يضطر كثيرون ممن يقضون عطلاتهم على الشواطئ إلى مراجعة الأطباء بسبب حالة تعرف بحساسية الشمس، والتي تظهر على شكل بقع جلدية منتشرة مصحوبة بحكة شديدة واحمرار في الجلد.
التعليقات